股骨转子下骨折

患者张某某,男,64岁,右股骨转子间骨折
图片尺寸1572x1199
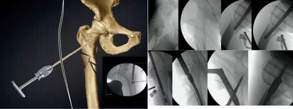
专题教程:青壮年股骨转子下骨折的髓内钉复位与进针要点
图片尺寸439x324
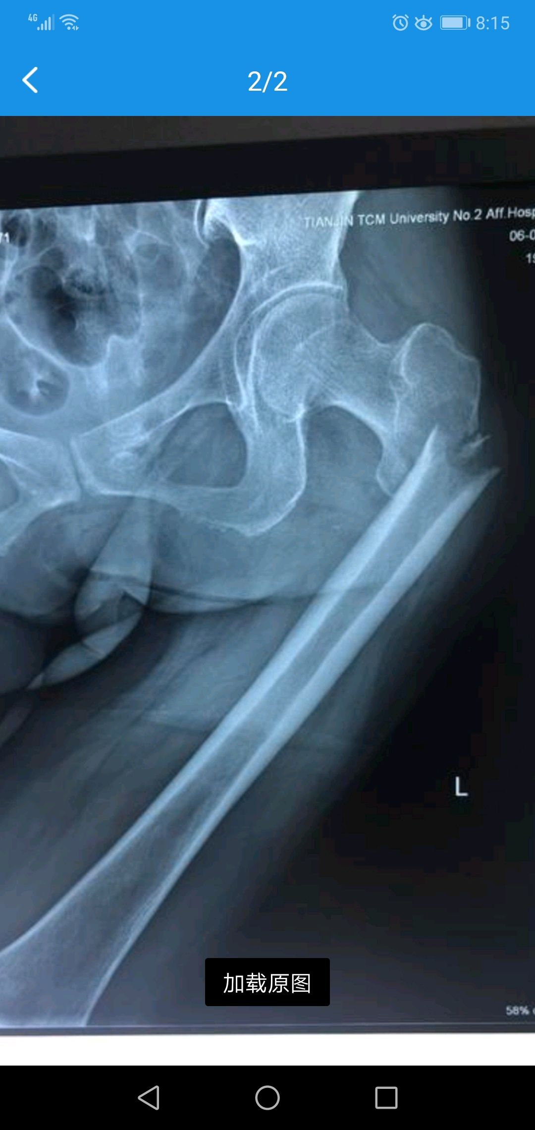
转子下骨折
图片尺寸1080x2280
转子下骨折
图片尺寸2000x2667
70岁老太太摔伤致左股骨粗隆间骨折,身体条件较差,下级医院转 - 抖音
图片尺寸1440x1920
一例儿童股骨转子下骨折
图片尺寸4000x3000
股骨装之下骨折_转子
图片尺寸3120x4160
颈骨折老年髋部骨折包含股骨颈骨折,股骨转子间骨折和股骨转子下骨折
图片尺寸1230x922
转子下骨折
图片尺寸2000x2667
转子下骨折
图片尺寸2000x2667
股骨转子下骨折38岁
图片尺寸2000x2667![股骨转子间,转子下粉碎性骨折 [病例帖]](https://i.ecywang.com/upload/1/img1.baidu.com/it/u=3694904180,1056501376&fm=253&fmt=auto&app=138&f=JPEG?w=667&h=500)
股骨转子间,转子下粉碎性骨折 [病例帖]
图片尺寸2048x1536
青壮年股骨转子下骨折的髓内钉复位与进针要点 - 上海开为医药科技
图片尺寸932x349
小医股骨转子间转子下骨折有限切开intertan固定1例
图片尺寸4640x2608
老年股骨转子下骨折
图片尺寸1488x1984
右股骨转子下粉碎性骨折请各位讨论
图片尺寸930x1240
股骨转子间转子下骨折一例 - 骨科 -丁香园论坛
图片尺寸2976x3968
股骨下段骨折
图片尺寸3072x4096
右股骨转子下间病理性骨折
图片尺寸960x720
再来一例转子下骨折
图片尺寸1040x780