肯尼迪病

花季少女得怪病巨瘤遮住整张脸连五官都不见了
图片尺寸400x267
2019年爱泼斯坦狱中身亡,历时14年的性交易未落幕:趋向合法化
图片尺寸1280x688
骗局说,艾滋病医疗阴谋,美国登月阴谋,戴安娜王妃谋杀论,肯尼迪遇刺
图片尺寸1080x675
摄影师|保罗·福斯克:因为感同身受,所以传奇难以复制_肯尼迪
图片尺寸600x406
罕见病系列科普丨肯尼迪病dna的一个美丽错误
图片尺寸771x528
仅仅隔了一年,肯尼迪遇刺身亡,同样留给后人无数的猜疑.
图片尺寸640x603
戴维|肯尼迪|罗尔夫|小罗斯福|玛丽莲·梦露|迈克尔·杰克逊_网易订阅
图片尺寸576x580
椅子上,列宁瘫在椅子上|甘地|柏林|戴安娜王妃|约翰·肯尼迪_网易订阅
图片尺寸660x431
风流的约翰肯尼迪,与女间谍开房3天不出门,在派对上找应召女郎
图片尺寸663x327
1949年的诺贝尔医学奖,被认为是诺奖史上最具争议的一次
图片尺寸600x358
肯尼迪遇刺:凶手连开3枪,杰奎琳爬上汽车盖,抓住被打飞的头骨
图片尺寸640x435
原创肯尼迪家族真的被诅咒了吗二战飞行员殒命开始至今无法摆脱
图片尺寸639x314
肯尼迪
图片尺寸300x400
制造惺闻,吃血馒头|默多克|尼克松|总统特朗普|约翰·肯尼迪_网易订阅
图片尺寸660x389
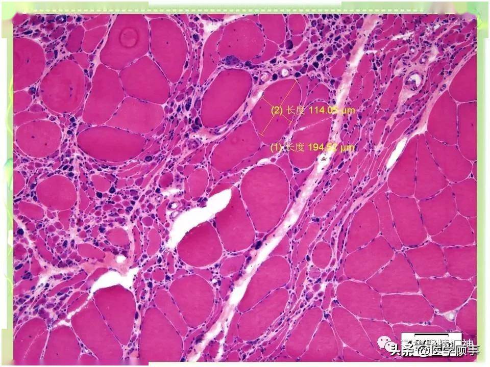
特殊运动神经元病肯尼迪病
图片尺寸960x720
戴维|肯尼迪|罗尔夫|小罗斯福|玛丽莲·梦露|迈克尔·杰克逊_网易订阅
图片尺寸576x486
泄露天机还是博人眼球?美国知名算命婆,93岁临终前这样预言中国
图片尺寸500x436
风流的约翰肯尼迪,与女间谍开房3天不出门,在派对上找应召女郎
图片尺寸665x431
手术|弗里曼|肯尼迪_网易订阅
图片尺寸640x486
45人中就有9人遇刺,美国总统遇刺案大盘点_约翰·肯尼迪_亚伯拉罕
图片尺寸610x524