肱骨侧位

医学影像检查技术实验指导(x线检查技术部分)一
图片尺寸2592x1944
x线解剖图谱肱骨
图片尺寸670x502
肱骨x线照片,侧位.
图片尺寸1200x1088
右肱骨髁上,髁间粉碎性骨折
图片尺寸1106x1458
肱骨近端骨折
图片尺寸350x290
正常身体各部分x片详解
图片尺寸544x583
微创手术——肱骨髁上骨折闭合复位经皮穿刺克氏针内固定术
图片尺寸1200x1600
一个陈旧肱骨髁骨折的孩子
图片尺寸4096x2304
肱骨髁上骨折闭合复位内固定
图片尺寸2000x2667
肘关节骺干角 儿童骨骺未闭合时,肱骨远端外侧骨骺线与肱骨干轴线的
图片尺寸284x553
42张x线片带你读懂不同部位骨折_肱骨
图片尺寸640x264
保留伸肘装置的后正中入路:肱骨远端骨折内固定术 - 骨科知识汇编的
图片尺寸999x714
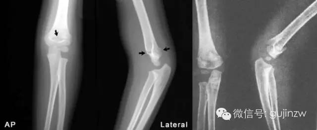
儿童肱骨远端骨折
图片尺寸2000x2674
x线正常解剖ppt
图片尺寸1080x810
儿童胳膊肘骨折(肱骨髁上骨折)了怎么办? - 好大夫在线
图片尺寸610x457
左侧肱骨近端骨折
图片尺寸2448x3264
肩胛骨_右肩_肱骨
图片尺寸666x370
肱骨侧位片如何更细致的分析各个部位
图片尺寸656x384
我院外二科完成儿童肱骨髁上骨折急诊手术一例.
图片尺寸1080x1440
检查方式描述:肱骨正侧位 片示:左侧肱骨近段内侧局部欠连续清晰
图片尺寸720x960