肱骨大结节骨折钢板

7月9日上午,由徐院长主刀,对练女士实施左肱骨大结节骨折切开复位内
图片尺寸495x518
地区使用微创小型近端锁定板行肱骨大结节粉碎性骨折微创内固定手术
图片尺寸2736x3648
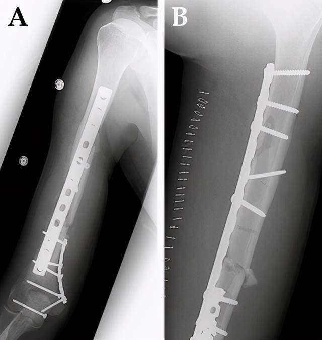
袁林林 肱骨中下段双钢板
图片尺寸4032x3024![黄骨头肱骨大结节骨折一例 [病例帖]](https://i.ecywang.com/upload/1/img2.baidu.com/it/u=3796158778,1027608922&fm=253&fmt=auto&app=138&f=JPEG?w=500&h=1083)
黄骨头肱骨大结节骨折一例 [病例帖]
图片尺寸1125x2437
单钢板和双钢板固定肱骨远端骨折效果相当
图片尺寸506x626
骨折患者康复后钢板必须取出来医生辟谣教您根据病情来决定
图片尺寸640x676
11.大结节骨折:锚钉与钢板锁定钢板12.
图片尺寸600x450
锁定钢板内固定治疗肱骨近端骨折生物力学研究进展
图片尺寸480x300
肱骨远端外侧钢板左右型
图片尺寸614x449
重建钛板治疗肱骨髁间骨折的体会
图片尺寸601x709
简单肱骨干骨折钢板内固定开放与微创手术旗鼓相当
图片尺寸640x789
肱骨大结节撕脱性骨折康复一
图片尺寸1001x1334
对于内翻压缩型外科颈骨折,可以先将钢板螺钉固定在肱骨头和大小结节
图片尺寸640x398
肱骨近端骨折(三部分骨折)
图片尺寸1237x1737
肱骨头颈伴大结节骨折
图片尺寸3024x4032
生物力学测试表明肱骨头滑动固定锁定钢板(hts)的结构稳定性良好
图片尺寸431x367
从一12楼跳下肩关节损伤患者看肱骨近端骨折如何放钢板? - 好大夫在线
图片尺寸403x530
高质量骨科lcp钢板多轴肱骨锁定钢板
图片尺寸1280x720
一文掌握深度解析复杂肱骨近端骨折复位技巧
图片尺寸460x473
肱骨骨不愈合钢板断裂手术与否请大家赐教
图片尺寸1840x3264