肺原位癌图片

病例分享:这位小伙子的肺结节,我建议他开刀,结果是原位癌,开亏了吗?
图片尺寸1080x1628
查体发现,病理结果为肺原位癌.手术后不需要化疗 - 抖音
图片尺寸1083x1119
影像病理联合读片之肺原位腺癌
图片尺寸1080x810
什么是肺结节原位癌,肺结节的癌变几率是多少?
图片尺寸1079x1439
有人认为原位癌阶段不需要手术
图片尺寸1440x2688
挺大的一个磨玻璃结节,病理证实为肺原位癌.这个肺结节蛮大的, - 抖音
图片尺寸1440x3130
医学科普 #肺结节科普 #原位癌 #肉芽肿性 病例分享
图片尺寸1440x1920
肺结节如果是原位癌的话,继续观察会不会出现转移 这个呢,是一位网友
图片尺寸1132x1280
病理示:上叶原位癌,中叶浸润性腺癌,腺泡与贴壁各占50%.
图片尺寸1080x1439
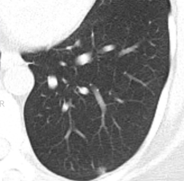
影像病理联合读片之肺原位腺癌
图片尺寸1080x810
影像病理联合读片之肺原位腺癌
图片尺寸1080x810
医学科普#肺结节科普 #原位癌 病例分享:患者女性40岁
图片尺寸1440x2810
目前认为原位癌仍可继续观察,待增大或变为微浸润再手术切除.
图片尺寸1440x1920
肺原位癌,作为肺癌的早期阶段,是指癌细胞局限于黏膜上皮层内的重度
图片尺寸958x1280
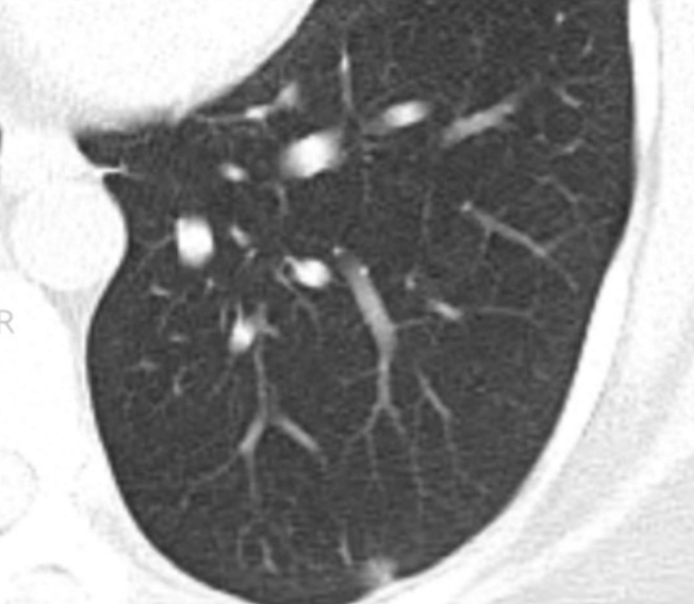
影像病理联合读片之肺原位腺癌
图片尺寸1080x810
肺原位癌,微浸润癌,浸润癌,哪个术后能达到"治愈"?
图片尺寸661x690
肺原位癌一定要做手术吗?_肺腺癌_肺腺癌治疗方式 - 好大夫在线
图片尺寸1460x1354
肺原位癌,微浸润癌,浸润癌,谁术后能达到"治愈"?
图片尺寸694x604
肺原位癌
图片尺寸1440x1440
肺原位癌,微浸润癌,浸润癌,哪个术后能达到"治愈"?
图片尺寸628x616