肺囊肿ct图片

肺没毛病但那个囊肿又是怎么回事
图片尺寸3264x1837
肺囊肿不是病但不可忽略
图片尺寸4032x3016
今日病例肺内支气管源性囊肿
图片尺寸1280x960
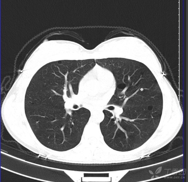
图3-19左下肺含气囊肿ct横断面肺
图片尺寸694x516
肺囊肿,各位老师看怎么办
图片尺寸1052x592
多发性肺囊肿
图片尺寸1600x1200![【读片】女 20岁 肺囊肿? [病例帖]](https://i.ecywang.com/upload/1/img0.baidu.com/it/u=1424973940,3314649038&fm=253&fmt=auto&app=138&f=JPEG?w=500&h=676)
【读片】女 20岁 肺囊肿? [病例帖]
图片尺寸2368x3200
31岁女性,因咳嗽咳痰7天,发热3天急诊就诊,胸部ct提示两肺多发囊气肿
图片尺寸640x620
8岁儿童巨大肺囊肿,廊坊市四院微创切除!
图片尺寸1080x811
多发性肺囊肿
图片尺寸1600x1200
外伤性肺囊肿
图片尺寸2000x2667
张晓军,先天性肺囊肿
图片尺寸2667x2000
多发性肺囊肿
图片尺寸1600x1200
多发性肺囊肿
图片尺寸1600x1200
今日病例肺内支气管源性囊肿
图片尺寸1280x960
肺囊肿的胸部影像
图片尺寸600x491
多发性肺囊肿
图片尺寸1600x1200
肺囊肿不是病但不可忽略
图片尺寸4032x3016
肺囊肿的ct片
图片尺寸800x600
ct鉴别:病理确诊的肺大泡,肺囊肿,肺囊肿误诊胸腔积液.
图片尺寸573x466