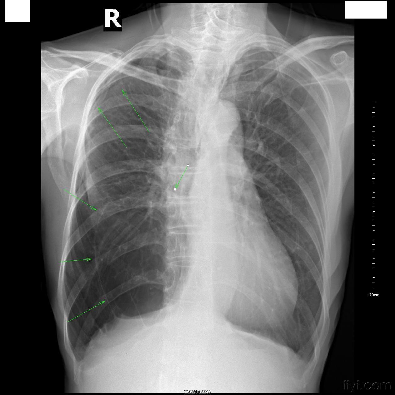
肺大泡x线图片

多例典型肺大泡的dr片,与大家分享!
图片尺寸1256x1256
多例典型肺大泡的dr片与大家分享
图片尺寸1256x1256
双侧多发肺大泡一例
图片尺寸680x510
肺大泡影像学诊断及鉴别
图片尺寸605x433
双侧多发肺大泡一例
图片尺寸680x510
有肺大泡的人怎么办
图片尺寸500x540
你看到的肺大泡不一定是肺大泡很有可能是这个
图片尺寸512x512
是不是肺大泡
图片尺寸1706x1280
胸片,肺脓肿,肺结核,肺大泡,严重肺癌及混合疾病
图片尺寸480x600
胸腔镜下治疗肺大疱并复发性气胸一例
图片尺寸1199x1199
右上肺受压 ll : l手术:2013-11-29全麻下行vats右肺下叶巨大肺大泡
图片尺寸512x512
肺大泡术后.
图片尺寸1621x2205
多例典型肺大泡的dr片与大家分享
图片尺寸1256x1256
是不是肺大泡
图片尺寸1706x1280
肺大泡的鉴别诊断
图片尺寸1256x1256
【经验】肺大泡所致的自发性气胸的诊疗(4)
图片尺寸659x793
reid3型肺大泡:宽基深部肺大泡之三维重建.
图片尺寸2667x2000
直播精华发现肺大泡还能进行吹气球等呼吸训练吗会不会导致肺大泡破裂
图片尺寸1000x747
巨大肺大泡误诊为气胸一例
图片尺寸680x836
肺大泡影像学诊断及鉴别
图片尺寸973x373