肺尖结节

肺结节的真实世界7
图片尺寸3024x4032
今年的年度体检廖先生的肺部出现了肺结节
图片尺寸1080x720
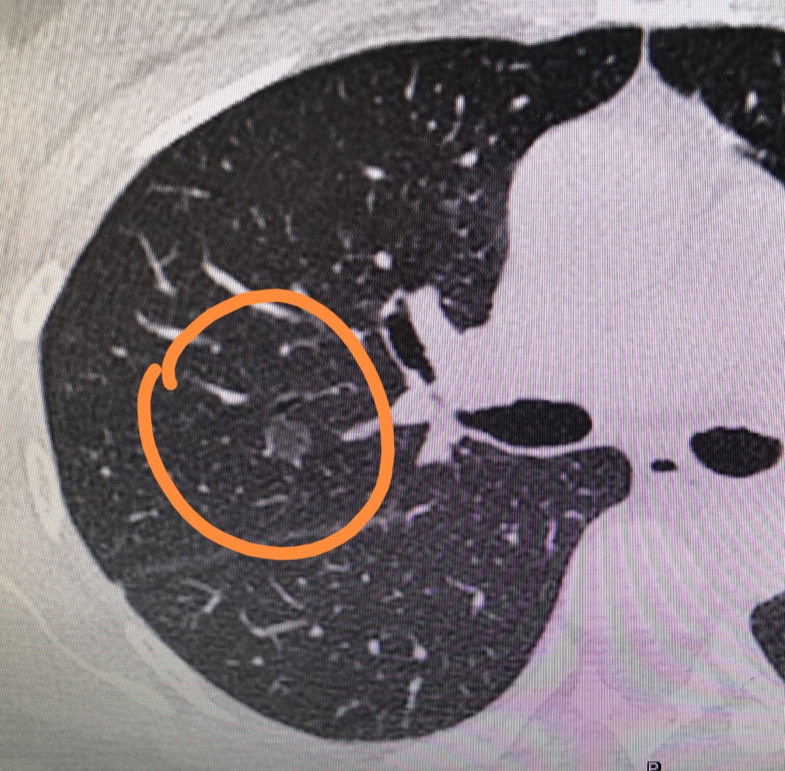
求助万能的丁香园友,我妈妈胸部ct发现右肺上叶尖段小结节,先谢谢大家
图片尺寸960x1280
浙江治疗肺结节好的医院
图片尺寸553x372
针芯化结厦门市中医院首例ct引导下肺结节微波消融
图片尺寸1032x702
这种肺部结节危险吗上次胸疼去ct看的
图片尺寸1728x2304
求助万能的丁香园友,我妈妈胸部ct发现右肺上叶尖段小结节,先谢谢大家
图片尺寸960x1280
病例(14例)阐述肺部结节的ct诊断策略
图片尺寸721x541
求助万能的丁香园友,我妈妈胸部ct发现右肺上叶尖段小结节,先谢谢大家
图片尺寸960x1280
像雾像雨又像风的肺结节
图片尺寸640x480
这种肺部结节危险吗上次胸疼去ct看的
图片尺寸1728x2304
我自己通过院内影像系统找到我的肺ct影像,看到了右肺上叶的结节:实性
图片尺寸2000x2667
图文教你看懂恶性肺结节的ct表现
图片尺寸3968x2976
求助万能的丁香园友,我妈妈胸部ct发现右肺上叶尖段小结节,先谢谢大家
图片尺寸960x1280
求助万能的丁香园友,我妈妈胸部ct发现右肺上叶尖段小结节,先谢谢大家
图片尺寸960x1280
一例肺磨玻璃结节
图片尺寸640x854
图文教你看懂恶性肺结节的ct表现
图片尺寸3648x2736
肺结节手术病例回顾
图片尺寸1080x810
是不是一发现自己肺上长了一个结节就要马上手术切掉
图片尺寸1600x1573
肺结节随访的目的到底是什么?可别"睡"过了头!
图片尺寸940x782