肺心病的x线表现

心力衰竭是肺心病的主要症状多种治疗手段有效控制病情的发展
图片尺寸640x480
慢性肺源性心脏病
图片尺寸1440x810
肺心病x线表现图片
图片尺寸1242x828
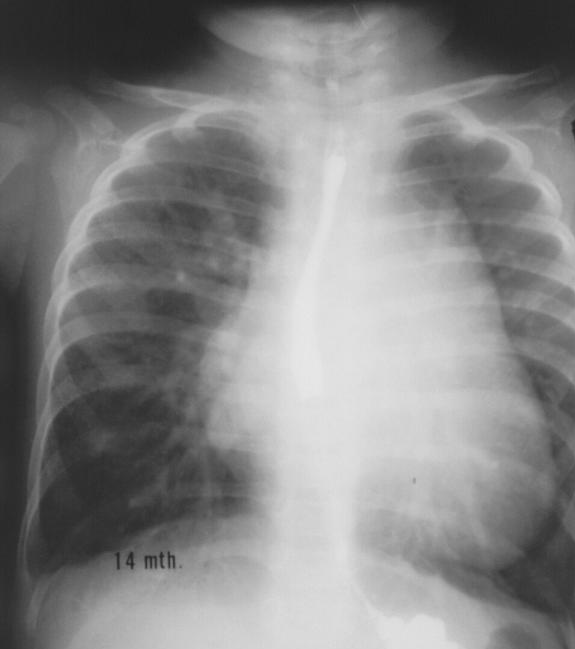
"雪人征":心上型肺静脉异位引流.
图片尺寸700x856
【共享】肺心病 肺动脉高压
图片尺寸5184x3456
病例3:肺血基本正常,肺门影略大,双房影,心膈面延长.
图片尺寸1080x1339
有时可见局限性透亮度增高,表现为局限性肺气肿或肺大泡.
图片尺寸500x610
慢阻肺患者呼吸困难 低氧血症,如何诊断?| 呼吸读片|胸部_新浪新闻
图片尺寸600x600
胸片:肺气肿.
图片尺寸3136x1796
胸片:肺气肿.
图片尺寸2092x2272
很多人都知道"肺心病",却不知道它发病的具体原因,一起来分析
图片尺寸575x649
胸片:肺气肿.
图片尺寸2396x2500
社区医院病例回顾(40)肺心病心衰?冠心病心衰?
图片尺寸2648x3164
胸片:肺气肿.
图片尺寸1036x1240
慢性肺源性心脏病的治疗
图片尺寸300x263
肺动脉段突出一定异常吗?
图片尺寸1496x1536
年纪36岁,肺像65岁,不自律的人生,健康损害体现无疑!
图片尺寸2248x1280
慢阻肺也称其为慢性阻塞性肺病,它是肺部疾病的一个总称
图片尺寸2000x1333
特发性肺动脉高压
图片尺寸361x305
p>内科|心脏x线 br>靴型心,梨型心,烧瓶心常见疾病归纳 /p>
图片尺寸747x996