肺念珠菌病

下面来看看,权威文献如何评价肺念珠菌病.
图片尺寸682x469
念珠菌肺炎
图片尺寸680x1559
白色念珠菌肺炎
图片尺寸800x529
肺部感染白色念珠菌
图片尺寸680x582
丁香园念珠菌肺炎
图片尺寸934x467
短短7天从住院昏迷到抢救无效死亡不容忽视的可疑侵袭性念珠菌肺病
图片尺寸936x647
【原创】肺部真菌感染
图片尺寸1010x887
原发性白色念珠菌肺炎一例
图片尺寸680x225
原发性肺念珠菌病男性55岁间断咳嗽8年发热8天加重2天
图片尺寸695x412
肺结核合并念珠菌感染一例
图片尺寸3346x734
丁香园论坛
图片尺寸4208x3120
丁香园论坛
图片尺寸4208x3120
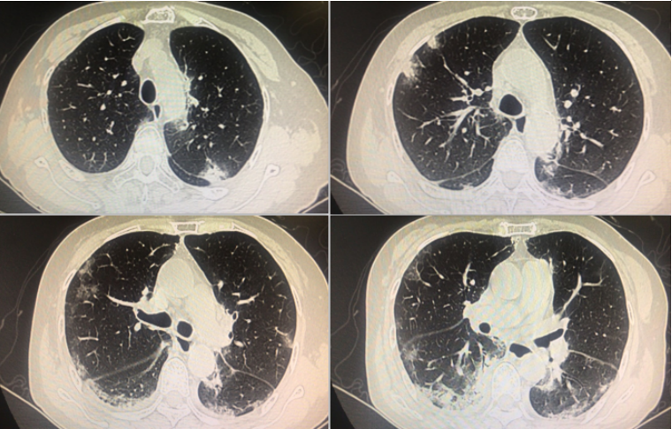
图为nnis念珠菌感染按部位分布(1980~1990)(二)肺念珠菌病影像学改变
图片尺寸431x301
肺霉菌球肺炎
图片尺寸2048x1536
在真菌性肺炎中居第二位,仅次于白色念珠菌肺炎.
图片尺寸600x450
在真菌性肺炎中居第二位,仅次于白色念珠菌肺炎.
图片尺寸600x450
肺念珠菌病
图片尺寸200x178
肺念珠菌病
图片尺寸504x330
mngs在抗合成酶综合征合并间质性肺病诊治中的应用,3个实际病例有何
图片尺寸760x485
9,克雷白杆菌肺炎:磨玻璃影 膨胀性 实变 蜂窝脓肿 叶间隙下坠 砖红
图片尺寸1122x390