肺水肿 间质性
![【读片】间质性肺水肿? [病例帖]](https://i.ecywang.com/upload/1/img2.baidu.com/it/u=1155462933,2684376213&fm=253&fmt=auto&app=138&f=JPEG?w=500&h=667)
【读片】间质性肺水肿? [病例帖]
图片尺寸3000x4000
间质性肺水肿——克氏b线
图片尺寸364x300![【读片】间质性肺水肿? [病例帖]](https://i.ecywang.com/upload/1/img2.baidu.com/it/u=1544828798,1610120698&fm=253&fmt=auto&app=138&f=JPEG?w=500&h=375)
【读片】间质性肺水肿? [病例帖]
图片尺寸4000x3000
间质性肺水肿
图片尺寸610x461![【读片】间质性肺水肿? [病例帖]](https://i.ecywang.com/upload/1/img1.baidu.com/it/u=3803323355,3537779225&fm=253&fmt=auto&app=138&f=JPEG?w=500&h=375)
【读片】间质性肺水肿? [病例帖]
图片尺寸4000x3000
间质性与肺泡性肺水肿
图片尺寸336x331![【读片】间质性肺水肿? [病例帖]](https://i.ecywang.com/upload/1/img2.baidu.com/it/u=446395929,1856271732&fm=253&fmt=auto&app=138&f=JPEG?w=500&h=667)
【读片】间质性肺水肿? [病例帖]
图片尺寸3000x4000
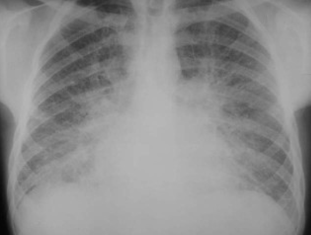
(a)胸片显示肺水肿.(b)ct显示小叶间隔增厚以及磨玻璃影
图片尺寸437x644
【知识回顾】间质性肺水肿
图片尺寸640x656
间质性肺水肿待定
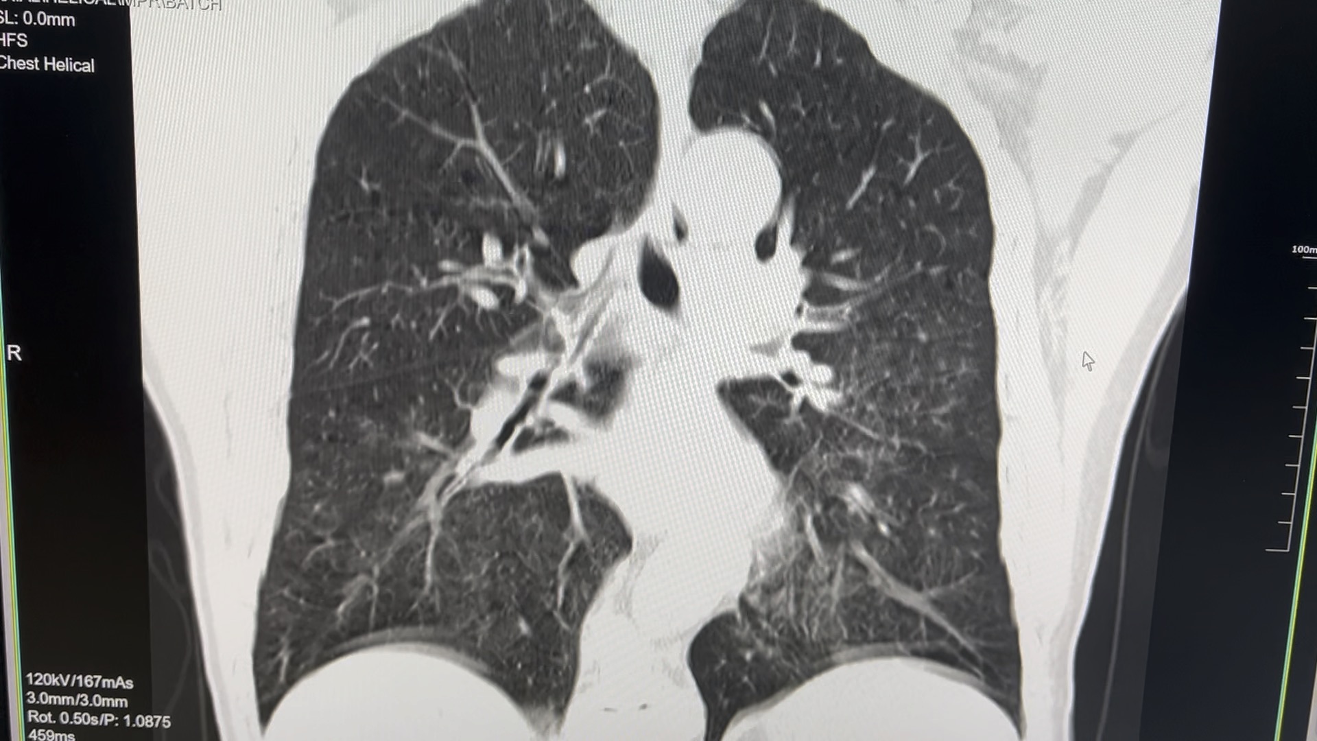
图片尺寸1920x1080
不同类型肺水肿的ct表现(下)
图片尺寸451x346
肺泡性肺水肿
图片尺寸1080x810
肺水肿的影像学表现
图片尺寸600x600
不同类型肺水肿的ct表现_支气管
图片尺寸1080x810
间质性肺水肿及轻度的肺泡肺水肿,双侧胸腔积液.
图片尺寸960x1280
m,52,左心衰竭,间质性肺水肿.小叶间隔增厚.
图片尺寸1038x458
肺都这样了还能对答如流能平卧这样的肺水肿你见过吗
图片尺寸2160x3840
知识回顾间质性肺水肿
图片尺寸551x610
"肺水肿"的发生机制及影像诊断
图片尺寸339x259
医学影像学-循环系统实习 肺静脉高压—肺水肿 间质性肺水肿: 肺门
图片尺寸1080x810