肺炎x光片表现

这种影像学表现虽不一定是重疾信号,但若出现在肺上叶,可能与特殊病变
图片尺寸1928x2048
原创近期肺炎高发期4类人群容易中招出现5类症状及时治疗
图片尺寸2404x2064
这么明显的肺炎,我当时怎么就没想到?那些经验去哪儿了?
图片尺寸1080x1224
肺有片状阴影是怎么回事
图片尺寸2048x1713
大叶性肺炎影像学表现有哪些
图片尺寸1242x1660
狐大医 | 支原体肺炎提前来袭!家有宝宝该如何防治
图片尺寸2483x2669
大神们看看,有肺炎么?
图片尺寸1080x1915
肺炎是呼吸系统常见疾病,而x光检查作为基础影像
图片尺寸2048x2006
常见病毒性肺炎的影像学特征︱以影识病
图片尺寸960x762
咳嗽超两周速查!儿童支气管炎易误诊,医生总结3个鉴别诊断要点
图片尺寸1242x1503
一分钟教你看胸片,识别各种肺炎
图片尺寸1280x1053
最常见:肺部感染,炎症引发积液
图片尺寸1052x1200
图片尺寸1706x2560
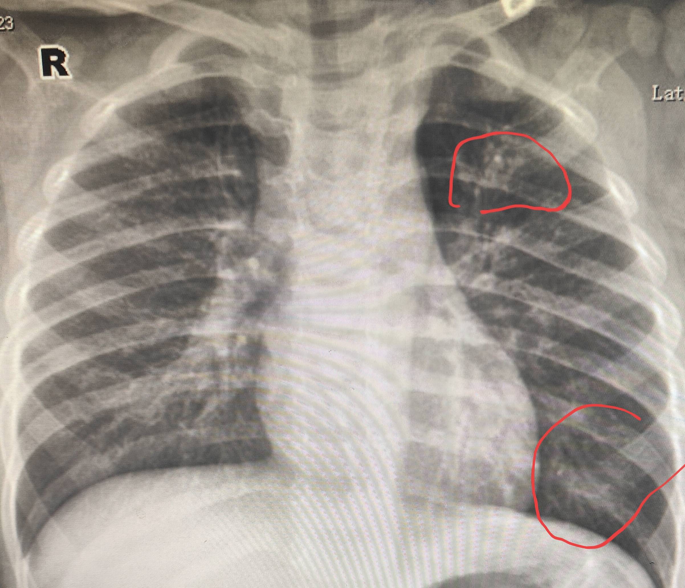
论肺ct的重要性,最近大叶性肺炎,重症肺炎多见,下图胸片对比右侧相对
图片尺寸1080x1440
肺炎可不是小病,它对身体的影响不容小觑
图片尺寸1242x1660
淋巴细胞间质性肺炎 一名既往健康的 37 岁男性因干咳,疲劳和口干 10
图片尺寸1920x1080
大叶性肺炎是一种在远端气腔内发展的炎性病变,具有其独特的特点
图片尺寸524x643
肺炎克雷伯杆菌感染影像学表现
图片尺寸1080x608
图1这个小姑娘4岁,咳嗽发热5天, x光片发现右侧大叶性肺炎
图片尺寸1258x1080
肺炎是一种常见的呼吸道疾病,冬季是其高发季节
图片尺寸1236x1280