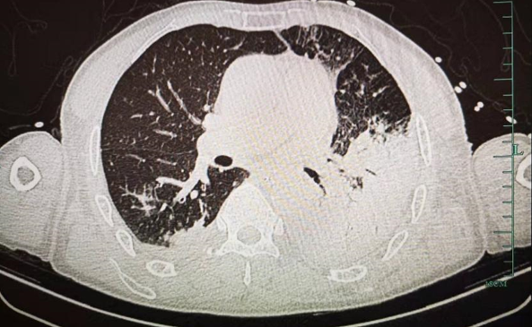
肺炭疽CT

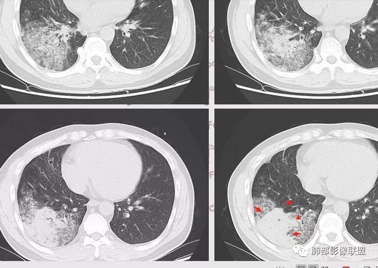
与图5为同一病人,ct示两肺弥漫性ggo.(miyokawa r, et al.
图片尺寸768x768
肺炭疽
图片尺寸235x199
帮忙看看这个ct
图片尺寸2448x3264
入科前胸部ct(2020.02.01)
图片尺寸2000x2667
论坛
图片尺寸2048x1152![双肺真菌治疗感染加重.大家帮我看看考虑什么原因,谢谢 [病例帖]](https://i.ecywang.com/upload/1/img1.baidu.com/it/u=4184376182,822822101&fm=253&fmt=auto&app=138&f=JPEG?w=500&h=371)
双肺真菌治疗感染加重.大家帮我看看考虑什么原因,谢谢 [病例帖]
图片尺寸4208x3120
奥司他韦,2天,发热气短住院,复查肺ct如下
图片尺寸3024x4032
是肺炎吗?
图片尺寸2000x2403
【病例讨论】copd合并肺炎,是曲霉吗?
图片尺寸3859x2161
【病例讨论】新年贺礼之二__反复的肺部感染是什么特殊的细菌?
图片尺寸1600x1200
【影像读片】双肺病变,快快来看(结果已公布)
图片尺寸1920x2560
复杂病变右肺枯成了蜂窝煤
图片尺寸640x640
临床诊断:肺部感染,慢阻肺 治疗经过:规律应用 亚胺培南联合莫西尚乔
图片尺寸1152x648
影像结果:胸部 ct 显示右肺中叶
图片尺寸607x555
【病例】肺部真菌感染1例ct影像表现
图片尺寸512x512
咳脓痰伴间断发热5年
图片尺寸3072x2304
一文搞定不同类型肺部感染的ct征象与鉴别诊断
图片尺寸492x365
【每日晨读】云里雾里寻踪迹(三)(不按常规出牌的肺炎)
图片尺寸750x532![【影像读片】肺结核吗?还是真菌感染? [病例帖]](https://i.ecywang.com/upload/1/img0.baidu.com/it/u=1131503315,3896910266&fm=253&fmt=auto&app=138&f=JPEG?w=500&h=667)
【影像读片】肺结核吗?还是真菌感染? [病例帖]
图片尺寸2448x3264
大爷用鸡粪施肥结果感染重症肺炎住进icu专家节前提醒接触禽类要注意
图片尺寸593x365