肺癌中期

刘懿博士说肺癌(二亖〇亖)当地医生说中期,我认为是晚期肺癌!
图片尺寸1079x1435
死神大人最忠心的仆人,众癌之王——肺癌君最后的告白
图片尺寸1440x1080
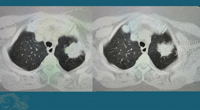
肺癌肿瘤致千疮百孔 精准靶向成功修补
图片尺寸576x492
的男病人,抽烟多年,因为咳嗽,痰中带血丝半个月,ct发现右侧中心型肺癌
图片尺寸776x403
抽烟50年9公分的肺癌还好没转移
图片尺寸1000x428
咳嗽半个月的60岁哥哥一做胸部ct发现早期肺癌,什么事儿都没有的55岁
图片尺寸1080x593
我仔细看了她的胸部ct,确实考虑是个 肺癌 ,一般癌症我们都不太直接和
图片尺寸1080x1915
刘懿博士说肺癌三〇七六中央型肺癌长什么样气管镜里就能看到
图片尺寸1354x1779
肺腺癌
图片尺寸741x500
右侧中心型肺癌,右肺切除术后两年,术后残腔?——中心医院病例库
图片尺寸1333x1026
不抽烟的人就不会得肺癌吗?
图片尺寸960x956
右侧中心型肺癌,右肺切除术后两年,术后残腔?——中心医院病例库
图片尺寸1356x1036
肺腺癌病人可吃木瓜吗
图片尺寸288x409
azd9291奥希替尼_肺癌吃奥希替尼耐药_香港买奥希替尼多少钱
图片尺寸921x1228
"我爸肺癌晚期本月22号离开了,从查出到生命结束两个半月时间"
图片尺寸1280x880
肺癌是拖出来的,医生忠告,烟瘾大的人做好5事,癌细胞才会更远_香烟网
图片尺寸2980x2976
肺癌- 好大夫在线
图片尺寸2670x2186
肺癌手术后要不要化疗?她1年后复发,靠1种靶向药活了7年
图片尺寸640x353
肺癌不是"突然"确诊的,若身体有5种表现,劝你,最好检查一下
图片尺寸3648x2736
肺癌的分期的图片
图片尺寸816x500