肺癌全身转移

为什么说全身性治疗对肺癌患者至关重要
图片尺寸1920x1280
肺恶性肿瘤伴全身转移
图片尺寸680x383
(5) 全身转移:晚期肺癌患者常常发生心包侵犯,膈神经麻痹,甚至出现上
图片尺寸550x540![典型病例066:肺癌肺转移,密集恐惧症者忌 [病例帖]](https://i.ecywang.com/upload/1/img2.baidu.com/it/u=2222597768,3288395033&fm=253&fmt=auto&app=138&f=JPEG?w=865&h=500)
典型病例066:肺癌肺转移,密集恐惧症者忌 [病例帖]
图片尺寸2324x1344
非特异性结合 点击查看答案进入题库练习 3 中央型肺癌时肺肺灌注显像
图片尺寸456x380
小细胞肺癌伴全身多发转移化疗1例
图片尺寸680x383
病人50岁,男,肺癌晚期,肿瘤扩散到后背,有在吃止痛药,这几天食量很少
图片尺寸768x1024
根据淋巴结及全身转移程度决定肺癌的分期,分为了i-iv期,大部分患者
图片尺寸666x661
早期的肺癌,由肿瘤大小和淋巴结转移的程度,部位来决定.
图片尺寸640x480
肺癌转移其他脏器会导致这些症状很可能出现在肺癌本身症状之前
图片尺寸575x431
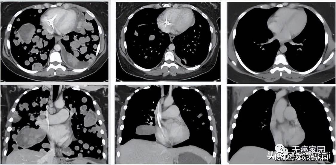
肺癌晚期,全身多处转移,与癌共存7年甚至16年,多款靶向药带来更多惊喜
图片尺寸1124x554
转移性her2阳性,之前接受过全身治疗的非小细胞肺癌(nsclc)的成年患者
图片尺寸1080x732
肺癌是起源于支气管黏膜或腺体的恶性肿瘤,可局限于胸腔,也可转移到
图片尺寸1080x720
小细胞肺癌的常见转移部位小细胞肺癌除了容易发生全身转移,手术治疗
图片尺寸892x815
怀疑左下肺癌,但入院一做检查就发现脑部,肝,全身骨多发转移病灶
图片尺寸3264x1840
男,运动员,无病史,刚被诊断出肺癌,这是他的pet扫描图,这是全身都转移
图片尺寸1384x1720
肺癌胸外转移
图片尺寸568x450
肺癌或肺转移癌的微波消融术
图片尺寸400x300
历经六线治疗深度剖析braf突变晚期肺癌伴全身多发转移患者诊疗经过
图片尺寸660x235
80岁肺癌晚期死前症状
图片尺寸400x443