肺癌吐灰色痰

之前很少吐这种痰最近比较频繁,吐出来感觉呼吸很顺畅,本人吸烟最早吐
图片尺寸390x520
吐的痰怎么是这个颜色啊 而且嗓子里痰多 有10年烟龄
图片尺寸4095x3036
之前很少吐这种痰最近比较频繁,吐出来感觉呼吸很顺畅,本人吸烟最早吐
图片尺寸390x520
为什么吐出来的痰是棕黄色,也没吃什么东西
图片尺寸1152x864
吐痰吐出这个东西了,怎么办
图片尺寸1632x920
术后七个月了,偶尔会-肺癌患者互助回答-觅健
图片尺寸745x993
肿瘤科医生许德璞:身体出现这8个症状,当心是肺癌早期!
图片尺寸600x400
容易得肺癌的人有哪些特征如何提早发现肺癌一文告诉你
图片尺寸660x465
痰藏身何处,病根就在哪?揭秘四种痰藏位置!
图片尺寸1000x1200
大问题的垃圾需要通过fa shao才能解决,fa shao 后那些垃圾会形成痰
图片尺寸690x734
肚子胀气,喉咙干燥怎么办?中成药帮你解决日常9大难题!
图片尺寸1280x1209
肺癌风险大!白痰,绿痰,黄痰,黑痰,揭示了身体健康秘密!
图片尺寸640x424
肺癌早期没有症状?医生提示:身体这些信号,不要忽视!_腾讯新闻
图片尺寸960x662
听人说,吐黄痰轻,黑痰重,吐了白痰要了命是啥意思?
图片尺寸640x488
干咳嗓子有痰是不是肺癌前兆
图片尺寸474x355
肺癌是"拖"出来的吗?医生:要是出现"两痛一凸",建议检查!
图片尺寸935x697
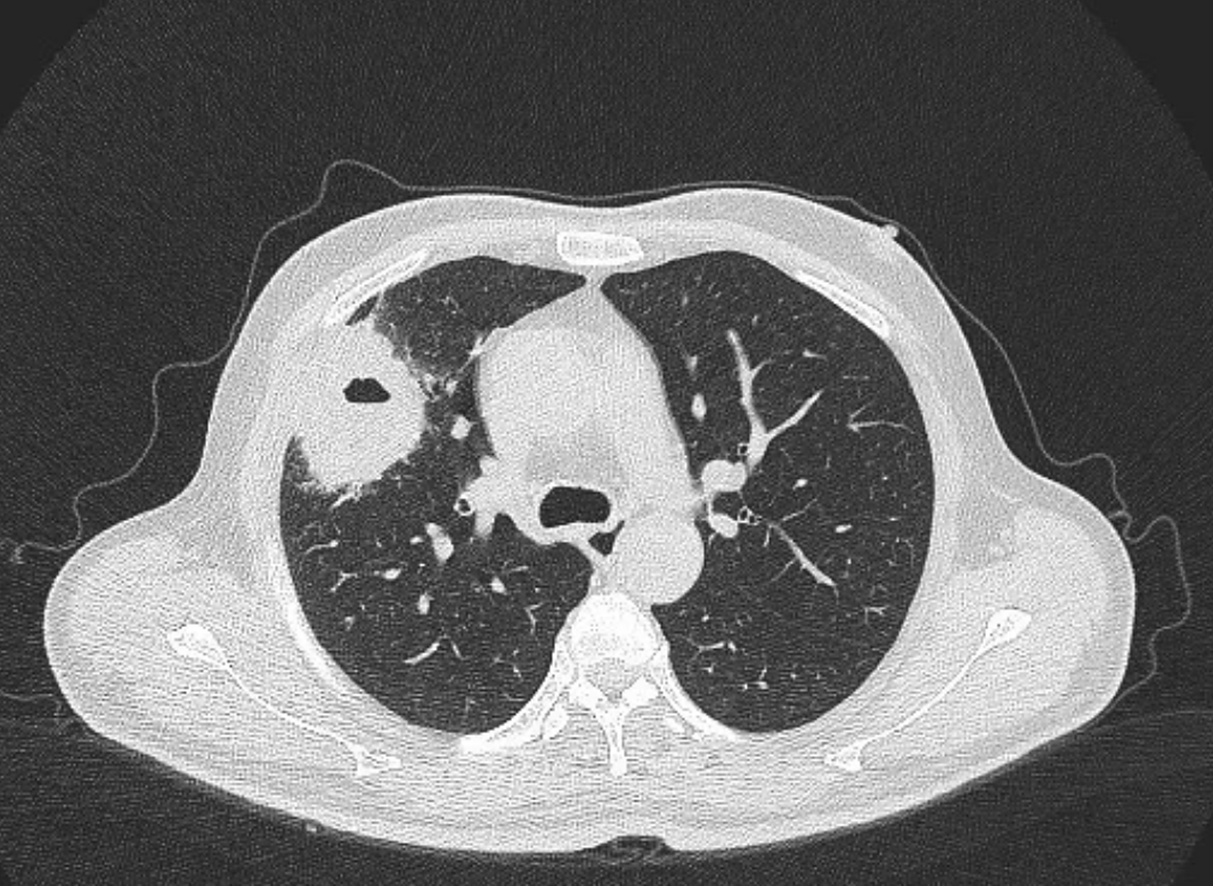
一个肺脓肿患者,差点被误诊为肺癌 这个病人50岁,咳嗽,咳痰四五天了
图片尺寸1753x1280
大批华人病倒,高烧狂咳黄痰!有人直接
图片尺寸1071x431
抗酸染色(痰) 输血前传染病筛查 乙肝两对 肺癌
图片尺寸1080x447
6):吐口痰就能检出肺癌?可靠性如何?
图片尺寸1080x947