肺癌早期x光片

典型的肺癌
图片尺寸2709x2651
(图) 大细胞中分化型肺癌
图片尺寸947x1095
肺癌的线表现
图片尺寸1417x886
肺癌发生悄无声息,一旦四肢有4种"标记",当心肺癌已在路上!
图片尺寸639x522
肺癌分期是怎么定的有什么区别吗
图片尺寸1016x867
刘懿博士说肺癌一二二三脸肿去了心脏科消化科今天到了肺外科
图片尺寸2562x3162
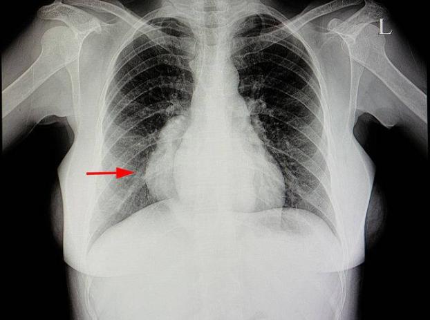
支气管肺癌怎么读片看看不同类型的支气管肺癌影像诊断
图片尺寸640x480
得了肺癌是不是就没救了?我还年轻
图片尺寸523x747
早期肺癌3种信号!
图片尺寸500x475
重庆针灸肺癌早期什么症状
图片尺寸448x336
西安市第九医院为一例肺癌化疗患者实施picc置管手术
图片尺寸600x597
起床3个"警报"一出,烟瘾再大也得戒,否则肺癌可能会步步紧逼
图片尺寸640x720
女性吸烟者的数码胸部x光片显示肺癌
图片尺寸1067x1200
36岁女子,查出肺癌,虽不抽烟,但一个坏习惯,同样把肺伤透了
图片尺寸561x346
临床医师胸部x线诊断
图片尺寸409x386
七,走近肺癌(1)——怎么知道得了肺癌
图片尺寸674x790
早期肺癌术后半年就广泛转移该如何预防
图片尺寸1080x635
肺癌容易与4种疾病混淆,做好区分,尽早治疗很重要!
图片尺寸622x463
肺癌早期发现:iqqa-chest cad云服务平台上线
图片尺寸600x602
肺癌筛查or不筛查这项研究给你指导
图片尺寸800x647