肺癌肺部ct图片

典型吸烟导致肺癌的ct图像,2.9cm肺结节,有毛刺,分叶, - 抖音
图片尺寸1440x1920
肺癌来临,睡觉先知?
图片尺寸640x518
放射科:肺癌早筛非ct检查莫属!【医生手记】_廖先生_胸部_体检
图片尺寸1080x666
几天后,王大叔的ct结果出来了,果然被确诊为早期肺癌.
图片尺寸1380x1060
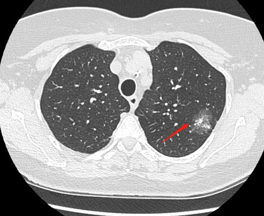
肺癌对应的ct影像-1 很多朋友问肺ct怎么看,以及肺癌影像有什么特点
图片尺寸870x710
刘懿博士说肺癌(五六八五)父母是肺癌,她本应每年做个胸部ct的_女士
图片尺寸3456x2462
89 岁老人肺癌咯血不止,肿瘤介入换就患者生命
图片尺寸1025x1025
半年前肺部ct正常,半年后会得肺癌吗?
图片尺寸911x1280
早期肺癌可以考虑这种治疗,5年生存率超过50%
图片尺寸640x527
为什么不能通过肺ct就确诊肺癌有哪些不痛苦的确诊肺癌的方法
图片尺寸1080x681
胸部薄层ct是早期发现早期肺癌的首选
图片尺寸1242x2208
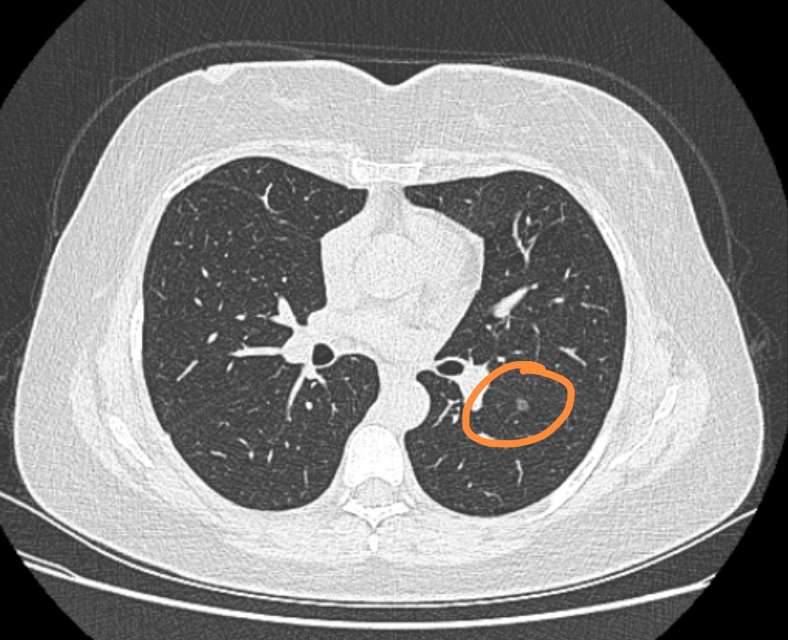
肺癌对应的ct影像-1 很多朋友问肺ct怎么看,以及肺癌影像有什么特点
图片尺寸1557x1280
为什么不能通过肺ct就确诊肺癌有哪些不痛苦的确诊肺癌的方法
图片尺寸1080x1005
15):肺癌术后如惊弓之鸟,我们如何来面对随访中发现的微小实性结节?
图片尺寸1080x1204
胸部x射线 ct增强片 帮帮忙看一下 是肺癌吗?
图片尺寸1944x2592
刘懿博士说肺癌六三九三肺磨玻璃结节术前还做ct么别误诊了
图片尺寸788x640
内科专家,肺癌专家
图片尺寸2736x3648
大家帮忙看看这肺部ct片 能不能确定这就是肺癌啊 有什么保守疗法
图片尺寸1097x1280
肺部肿块长到了5cm才看,手术是做不了了|肺癌|病灶|肺部肿瘤|全国肿瘤
图片尺寸660x736
熟记这些ct表现,一眼识破 "转移性肺癌"!
图片尺寸450x367