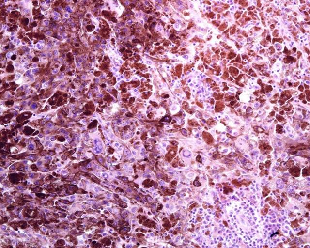
肺癌转移淋巴

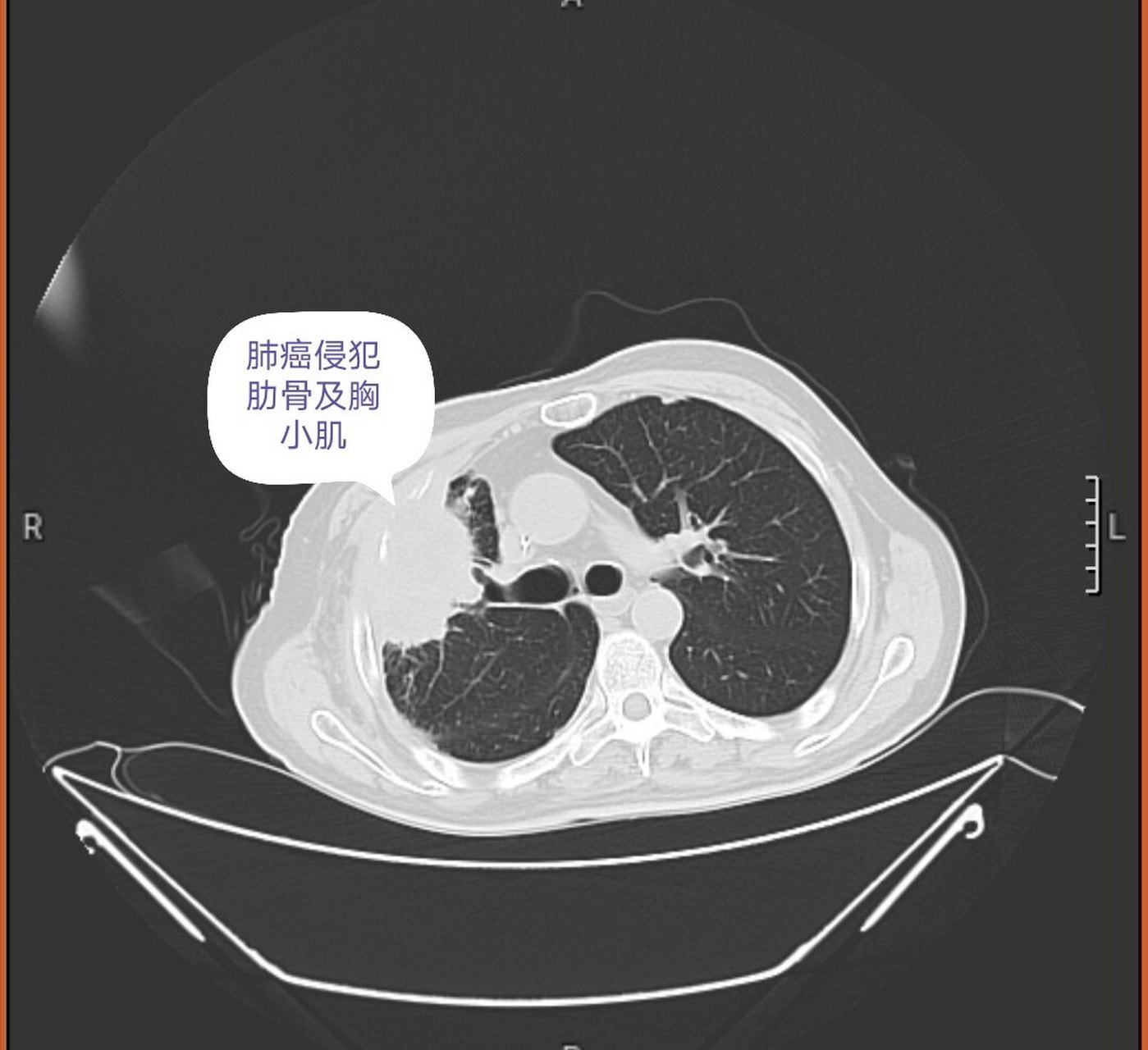
8厘米肺癌,4枚淋巴结转移 这位女士50多岁,不抽烟, 因为胸疼做ct检查
图片尺寸1275x1280
肺癌淋巴转移就是晚期吗? 肺癌淋巴结转移是不是就不好治了?
图片尺寸1770x1280
淋巴结转移的局部晚期肺癌(iiia-n2期),治疗该如何排兵布阵?
图片尺寸243x312
肺癌转淋巴现在只能化疗不能手术了,怎么办呀?还能好吗?
图片尺寸593x374
小细胞肺癌:原发灶小转移淋巴结很大(娘小崽大).生长快,转移 - 抖音
图片尺寸1074x1434
肺癌淋巴结图谱.ppt_第3页
图片尺寸920x690
医生坦白局:肺癌转移到淋巴活了10年多见吗?
图片尺寸960x1280
肺癌转移到淋巴还有救吗
图片尺寸1080x1439
肺癌皮肤转移结节图
图片尺寸750x500
肺癌晚期转移到淋巴,竟然用这个方法治愈了
图片尺寸1098x981
脖子上摸出"肿块",原来是肺癌有淋巴结转移了!得赶快活检
图片尺寸960x540
肺癌首发的转移症状基本都是淋巴结转移,先进入淋巴管,随着淋巴管
图片尺寸1399x1280
肺癌一旦出现了淋巴结转移,就意味着到了晚期吗?
图片尺寸1298x1184
其实当患者出现声音嘶哑,一般预示着病情已相对严重,肿瘤或转移的淋巴
图片尺寸2048x1481
郑州御和堂中医馆:肺癌晚期淋巴结转移真的那么可怕?那胸膜转移呢?
图片尺寸701x333
肺癌的转移部位有哪些
图片尺寸494x355
淋巴转移
图片尺寸800x819
肺癌越来越多,劝你身边的人早点戒烟吧!| 地球知识局
图片尺寸640x853
肺癌真相(第七期):肺癌淋巴结转移不可怕,辅助治疗可解烦忧
图片尺寸640x512
肺癌淋巴结转移怎么办?
图片尺寸1133x2453