肺癌ct影像图解

胸部ct肺段划分口诀word编辑
图片尺寸920x1302
ct肺段定位口诀
图片尺寸600x460
患者50岁女性,因其它原因做ct偶然发现多发肺结节.
图片尺寸874x895
看完这些图,你就能看懂肺部ct! (转载)
图片尺寸640x409
本人新手,现在积分为0,找了好久关于肺部ct的帖子,都下载不了,我就一
图片尺寸614x407
警惕性细致阅片手把手教你揪出早期肺癌肺结节诊断经验精髓分享
图片尺寸512x512
周围型肺癌的影像诊断演示课件
图片尺寸920x690
基础学习中央型肺癌典型征象
图片尺寸1080x608
肺结核与肺癌像真假美猴王医生教你用ct片当放大镜找不同
图片尺寸640x351
早期肺癌ct图
图片尺寸2157x1438
影像剖析(2021.6.21):毛刺分叶强化的肺占位为什么不是肺癌?
图片尺寸640x640
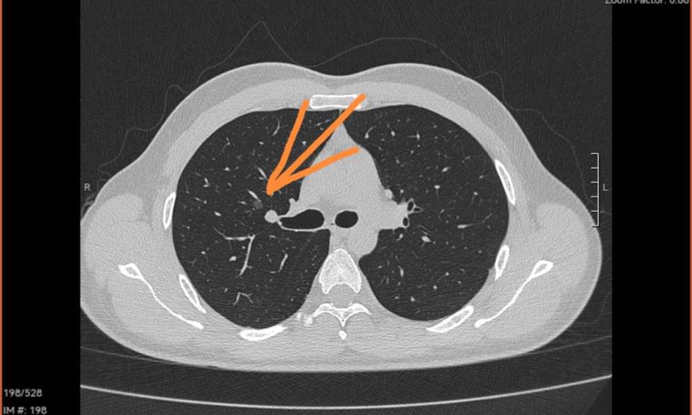
刘懿博士说肺癌(四〇一八)肺结节靠近肺门,会是中央型肺癌么?
图片尺寸1354x811
肺炎型肺癌的ct表现
图片尺寸920x690
胸部ct发现鸡蛋大的肿瘤
图片尺寸1440x1920
每日晨读让人琢磨不透的肺肿块
图片尺寸992x344
高等教育 医学 肺癌的ct诊断上一页第9页 下一页 你可能喜欢 肺癌影像
图片尺寸1080x810
肺癌对应的ct影像-1 很多朋友问肺ct怎么看,以及肺癌影像有什么特点
图片尺寸1568x1280
无鞋的医书馆 呼吸系统 ct 值增量的临床意义:中央型肺癌 ct 增强后呈
图片尺寸639x512
看不懂ct图像?各种类型肺癌典型表现!
图片尺寸508x397
磨玻璃结节就是肺癌吗?医生用ct片详细说明,前3种不要紧 - 知乎
图片尺寸780x416