肺的组织学图片

(三)肺的组织结构 表面:浆膜 间质:肺内的结缔组织, 血管,神经等 导气
图片尺寸1080x810
右肺内侧面左肺内侧面右肺(外侧观)左肺(外侧观)左肺(内侧观)右肺
图片尺寸800x1000
教育组织学显微镜下的人体肺组织.
图片尺寸1200x801
5呼吸系统-人体结构学ppt
图片尺寸1080x810
肺的大体及微观解剖回顾任福欣
图片尺寸1280x720
呼吸生理与病理学基础 microsoft powerpoint 演示文稿ppt
图片尺寸1080x810
肺部扫描时,怎样做到扫描范围"刚刚好"?
图片尺寸745x783
组织学,人体组织,展示,肺,烟,风景,显微镜
图片尺寸421x350
肺解剖学组织学课件_第4页
图片尺寸1500x1125
动物生理学 呼吸生理ppt
图片尺寸1080x810
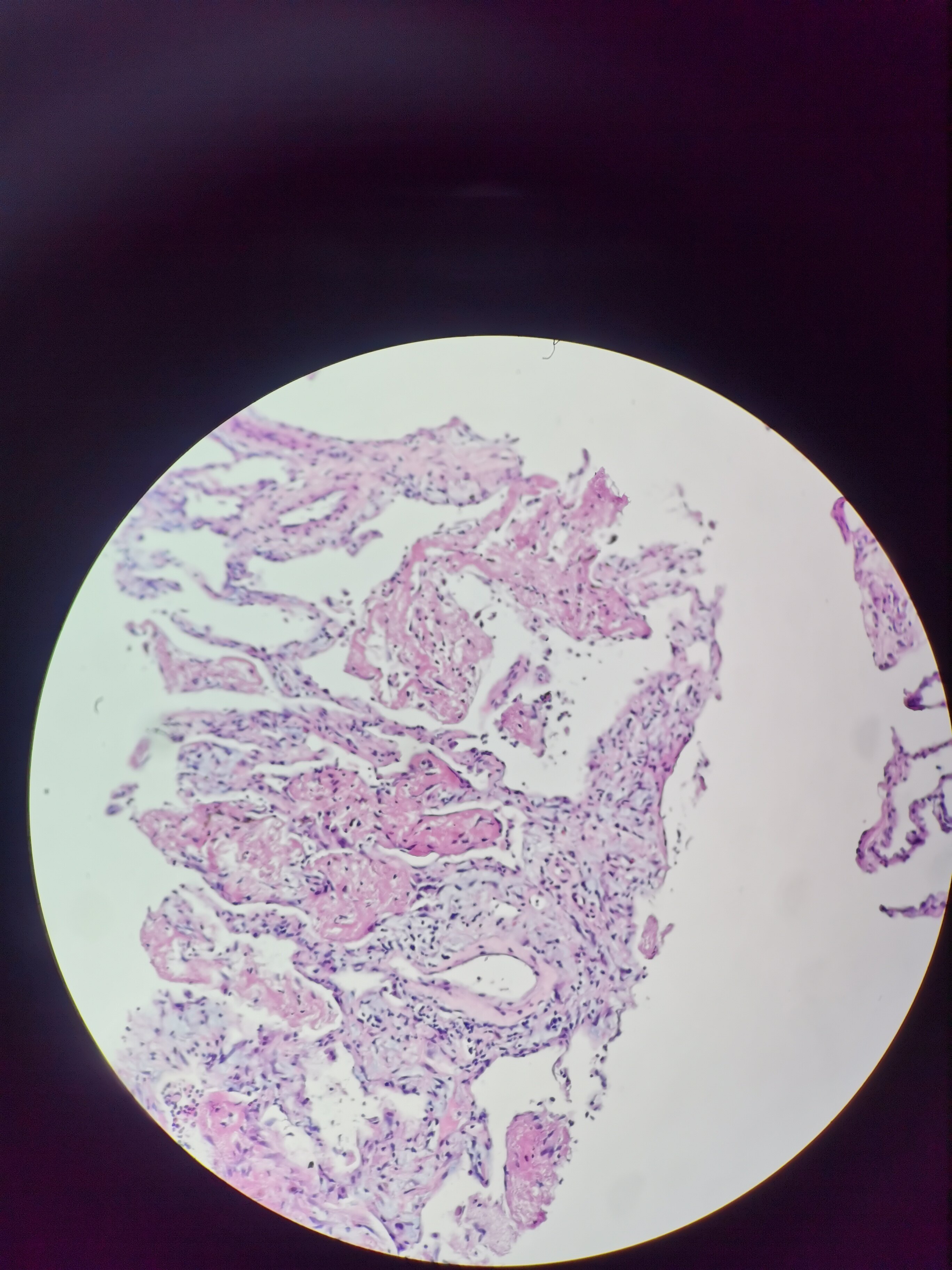
肺典型机化性肺炎组织学改变 - 好大夫在线
图片尺寸2736x3648
陈静人体的呼吸复习课件答案ppt
图片尺寸1080x810
系统解剖学第七版06呼吸系统系统解剖学第七版06呼吸系统 第四节肺 一
图片尺寸1080x810
肺典型机化性肺炎组织学改变 - 好大夫在线
图片尺寸2736x3648
吸烟者的肺,组织病理学,光学显微镜
图片尺寸1200x800
医疗人体器官组织肺部肺炎支气管5呼吸系统-人体结构学ppt第二讲人体
图片尺寸1080x810
肺典型机化性肺炎组织学改变 - 好大夫在线
图片尺寸2736x3648
肺典型机化性肺炎组织学改变 - 好大夫在线
图片尺寸2736x3648
肺小叶构造模式图
图片尺寸759x678
肺小叶名词解释
图片尺寸458x402