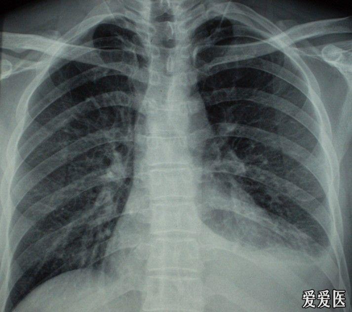
肺积水胸片

胸片显示胸腔积液.
图片尺寸1006x1200
积液的上缘在第4前肋水平以上,第2前肋水平以下,中下肺野呈均匀致密影
图片尺寸600x593
最广泛的方法就是胸部影像学,对于怀疑胸水的,初始都需要进行胸片检查
图片尺寸526x535
胸部x光片上如何大致判断胸腔积液量?专科医生讲解-健康视频-搜狐视频
图片尺寸658x370
如果提示有右侧胸腔积液为推测病原进行的特异性最高的诊断方法应是
图片尺寸890x491
14日外院胸部ct平扫 自行社区抗感染治疗后2019年1月3日外院复查胸片
图片尺寸2667x2000
术后胸片(出院前)
图片尺寸1200x1600
难治性心衰所至的胸腔积液中医治疗前后对比
图片尺寸768x1024
温故知新5左侧大量胸腔积液结果已出
图片尺寸2560x1920
胸腔积液的原因胸腔积液是怎么引起的
图片尺寸1200x799
游离性胸腔积液 (1)少量积液 液体 先积于后肋膈角,站立 后前位胸片
图片尺寸1080x810
肺炎1.jpg
图片尺寸713x632![【读片】大量胸腔积液一例,您的解读? [病例帖]](https://i.ecywang.com/upload/1/img2.baidu.com/it/u=2027353436,2657347202&fm=253&fmt=auto&app=138&f=JPEG?w=853&h=500)
【读片】大量胸腔积液一例,您的解读? [病例帖]
图片尺寸1201x704
页) 你可能喜欢 胸腔积液的治疗 恶性胸腔积液 呼吸衰竭 肺癌胸腔积液
图片尺寸1080x810
少量的胸腔积液患者没有任何的临床症状,只是胸片显示他的肋膈角变钝
图片尺寸500x667
胸部x光显示有胸腔积液
图片尺寸961x1200
患侧肺野呈均匀致密阴影,肋间隙增宽,纵隔向健侧移位.
图片尺寸600x604
【影像读片】双肺病变,双侧胸水(结果已公布)
图片尺寸4320x3240![卧位胸片中胸腔积液的探讨 [精华]](https://i.ecywang.com/upload/1/img1.baidu.com/it/u=3096967323,3067108251&fm=253&fmt=auto&app=138&f=JPEG?w=500&h=500)
卧位胸片中胸腔积液的探讨 [精华]
图片尺寸512x512
胸腔积液
图片尺寸1011x1200