肺空洞ct图片

王某男性65岁,2010年3月26日ct检查提示右上肺尖叶空洞型肿块,壁厚薄
图片尺寸814x719
外伤发现的同心圆空洞,肺结核?
图片尺寸2667x2000
肺部多发空洞病变的鉴别诊断
图片尺寸600x1546
讨论肺部空洞
图片尺寸2592x1944
亲人们亲人们肺ct这样给医生网上看行么
图片尺寸1000x1334
胸部ct双肺继发性肺结核,右上肺空洞形成.
图片尺寸2667x2000
肺部ct检查:左肺空洞闭合了,病变缩小了,继续给予药物治疗.
图片尺寸4032x2795
肺部空洞病灶的影像诊断
图片尺寸394x889
空洞肺结核ct影像图像
图片尺寸293x303
空洞性肺结核治愈后抽烟会变成肺癌吗
图片尺寸4032x3016
双肺多发空洞
图片尺寸2448x2448
【影像读片】右上肺大空洞:肺结核?肺癌? 要不要诊断性抗痨?
图片尺寸4000x2248
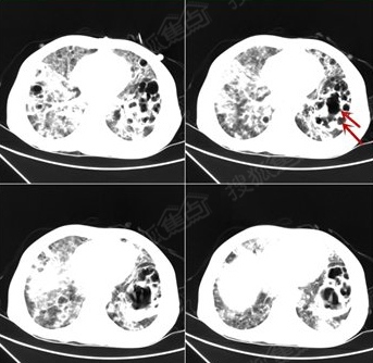
肺部ct显示肺部已经被"腐蚀"出一个个空洞(如箭头所示)
图片尺寸343x334
男性,52岁,肺空洞:肺脓肿,结核or肿瘤?
图片尺寸640x446
空洞肺结核ct影像图像
图片尺寸293x341
胸部ct(2016.03.08):左肺上叶巨大空洞,内有液平(图8-9).
图片尺寸425x262
【影像读片】16岁男孩,体检时发现右肺空洞,无任何症状
图片尺寸4208x3120
7种肺部常见空洞性疾病
图片尺寸934x760
胸部ct提示:双肺结核并空洞行成,右肺下叶实变.
图片尺寸1200x1597
【影像读片】16岁男孩,体检时发现右肺空洞,无任何症状
图片尺寸4208x3120