肺纤维化病理

肺纤维化病理标本的图片
图片尺寸792x528
首例新冠危重症患者病理报告:全肺表面呈古铜色,大量肺间质纤维化
图片尺寸650x530
特发性(ipf肺纤维化)治疗展望ppt
图片尺寸1080x810
图 2 大鼠肺纤维化模型的病理结果
图片尺寸3150x4341
以弥漫性纤维化为主要表现的慢性肺损伤
图片尺寸640x422
肺纤维化切片
图片尺寸1080x2460
特发性肺纤维化的治疗方法有哪些
图片尺寸800x600
时隔7年特发性肺纤维化诊断指南首次更新atsersjrsalat官方联合发布
图片尺寸1080x697
首例新冠危重症患者病理报告:全肺表面呈古铜色,大量肺间质纤维化(2)
图片尺寸650x522
肺纤维化
图片尺寸1280x934
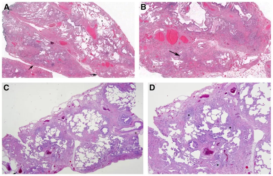
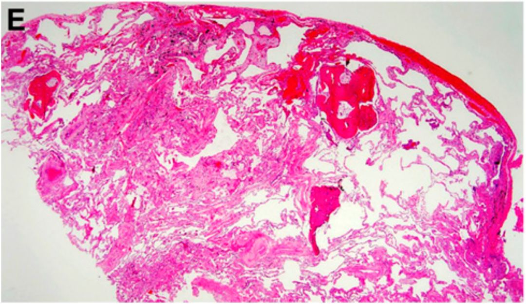
博来霉素诱导的小鼠肺纤维化肺组织病理学变化
图片尺寸3346x1333
专题笔谈关注吸烟相关性肺间质纤维化
图片尺寸815x460
肺纤维化
图片尺寸1395x871
博来霉素致小鼠肺纤维化模型的建立及生物标志物的筛选
图片尺寸700x532![[medscape]:特发性肺间质纤维化 | 中国病理生理学会危重病医学专业](https://i.ecywang.com/upload/1/img2.baidu.com/it/u=3931103056,891870953&fm=253&fmt=auto&app=138&f=JPEG?w=645&h=439)
[medscape]:特发性肺间质纤维化 | 中国病理生理学会危重病医学专业
图片尺寸645x439
左肺下叶 伴有陈旧性坏死的纤维化结节讨论病例【胸部等器官疾病诊断
图片尺寸800x766
时隔7年特发性肺纤维化诊断指南首次更新atsersjrsalat官方联合发布
图片尺寸1080x626
首例新冠危重症患者病理报告:全肺表面呈古铜色,大量肺间质纤维化
图片尺寸650x522
肺组织慢性炎伴间质纤维化病例【胸部等器官疾病诊断论坛病例123】
图片尺寸800x800
肺纤维化
图片尺寸500x375