肺纤维化 病理学

一,寻常性间质性肺炎/特发性肺纤维化(uip/ipf) 特发性肺纤维化
图片尺寸640x422
肺纤维化
图片尺寸792x528
时隔7年特发性肺纤维化诊断指南首次更新atsersjrsalat官方联合发布
图片尺寸1080x697
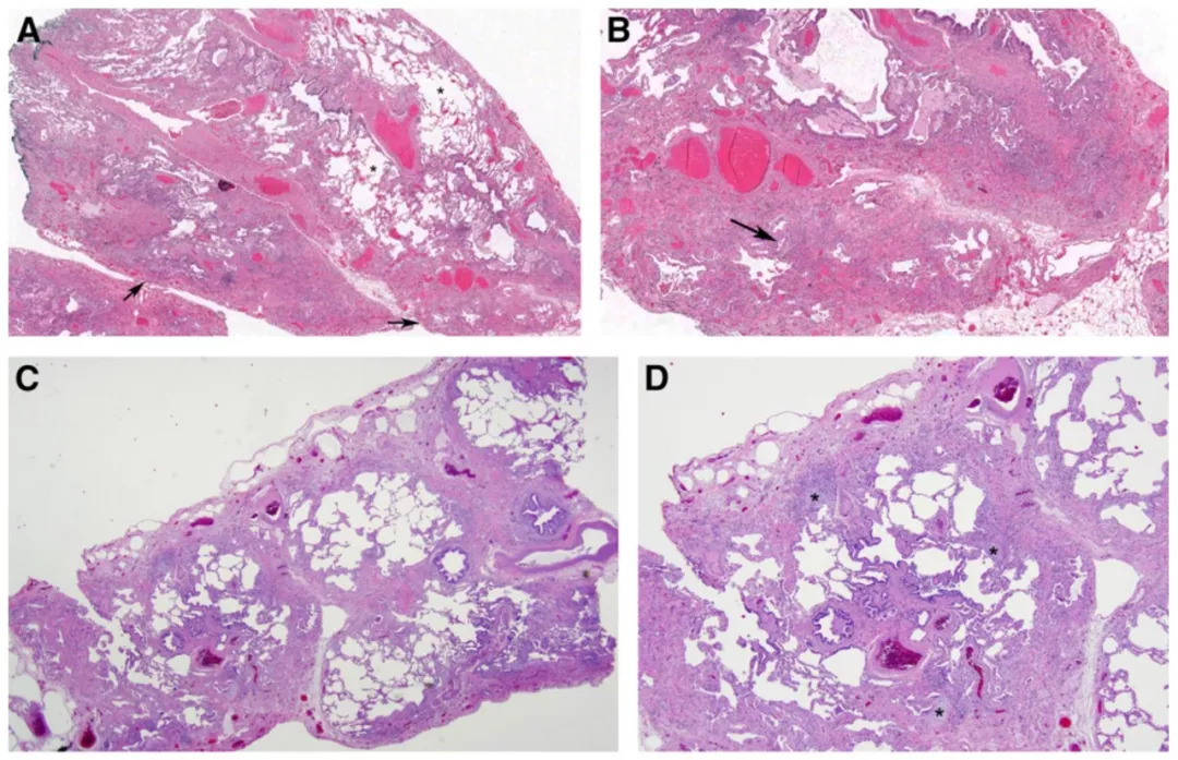
图 2 大鼠肺纤维化模型的病理结果
图片尺寸3150x4341
肺纤维化是肺的间质组织发生炎症,引起纤维化的主要原因就是免疫功能
图片尺寸307x230
特发性肺纤维化疾病领域研究平台
图片尺寸389x515
肺纤维化
图片尺寸792x528![[medscape]:特发性肺间质纤维化 | 中国病理生理学会危重病医学专业](https://i.ecywang.com/upload/1/img2.baidu.com/it/u=3931103056,891870953&fm=253&fmt=auto&app=138&f=JPEG?w=645&h=439)
[medscape]:特发性肺间质纤维化 | 中国病理生理学会危重病医学专业
图片尺寸645x439![[medscape]:特发性肺间质纤维化 | 中国病理生理学会危重病医学专业](https://i.ecywang.com/upload/1/img0.baidu.com/it/u=912300313,1597433654&fm=253&fmt=auto&app=138&f=JPEG?w=645&h=439)
[medscape]:特发性肺间质纤维化 | 中国病理生理学会危重病医学专业
图片尺寸645x439
弥漫性肺间质纤维化症
图片尺寸500x430
北山羊化脓性纤维素性肺炎的病理学观察,畜牧兽医论文_学术堂
图片尺寸600x678
影像学如何诊断特发性肺纤维化?
图片尺寸500x296
博来霉素诱导的小鼠肺纤维化肺组织病理学变化
图片尺寸3346x1333
肺纤维化病理标本的图片
图片尺寸792x528
胺碘酮诱发肺纤维化伴机化性肺炎一例
图片尺寸640x242
博来霉素致小鼠肺纤维化模型的建立及生物标志物的筛选
图片尺寸700x532
问:ipf最主要的组织病理学特征?答:纤维母细胞灶.
图片尺寸566x430
靶向转录因子,阻止肺纤维化
图片尺寸399x300
特发性肺纤维化的治疗方法有哪些
图片尺寸800x600
特发性肺纤维化组织
图片尺寸636x392