肺纹理增多图片

"肺纹理增粗,增多,紊乱,模糊"?
图片尺寸1892x1796
"肺纹理增粗,增多,紊乱,模糊"?
图片尺寸1080x557
"肺纹理增粗,增多,紊乱,模糊"?
图片尺寸3348x1800
"肺纹理增粗,增多,紊乱,模糊"?
图片尺寸1972x1800
肺纹理增多严重吗?是什么病?怎么办?医生帮你解答清楚
图片尺寸1106x860
"肺纹理增多",是一种什么病?会不会很严重?医生详解_老爷子_检查_组织
图片尺寸799x450
"肺纹理增粗,增多,紊乱,模糊"?
图片尺寸1080x1443
"肺纹理增多",是一种什么病?会不会很严重?医生为您科普
图片尺寸1200x676
"肺纹理增粗,增多,紊乱,模糊"?
图片尺寸1080x1070
再讲讲胸片里面的肺纹理增粗和斑片影
图片尺寸1080x1081
肺ct报告上提示 肺纹理增多,增多 代表着什么
图片尺寸640x875
"肺纹理增粗,增多,紊乱,模糊"?
图片尺寸1080x1760
"肺纹理增粗,增多,紊乱,模糊"?
图片尺寸1080x531
双肺纹理增多是什么意思
图片尺寸500x447
胸片里面的肺纹理增粗和斑片影的意义 - 抖音
图片尺寸1024x880
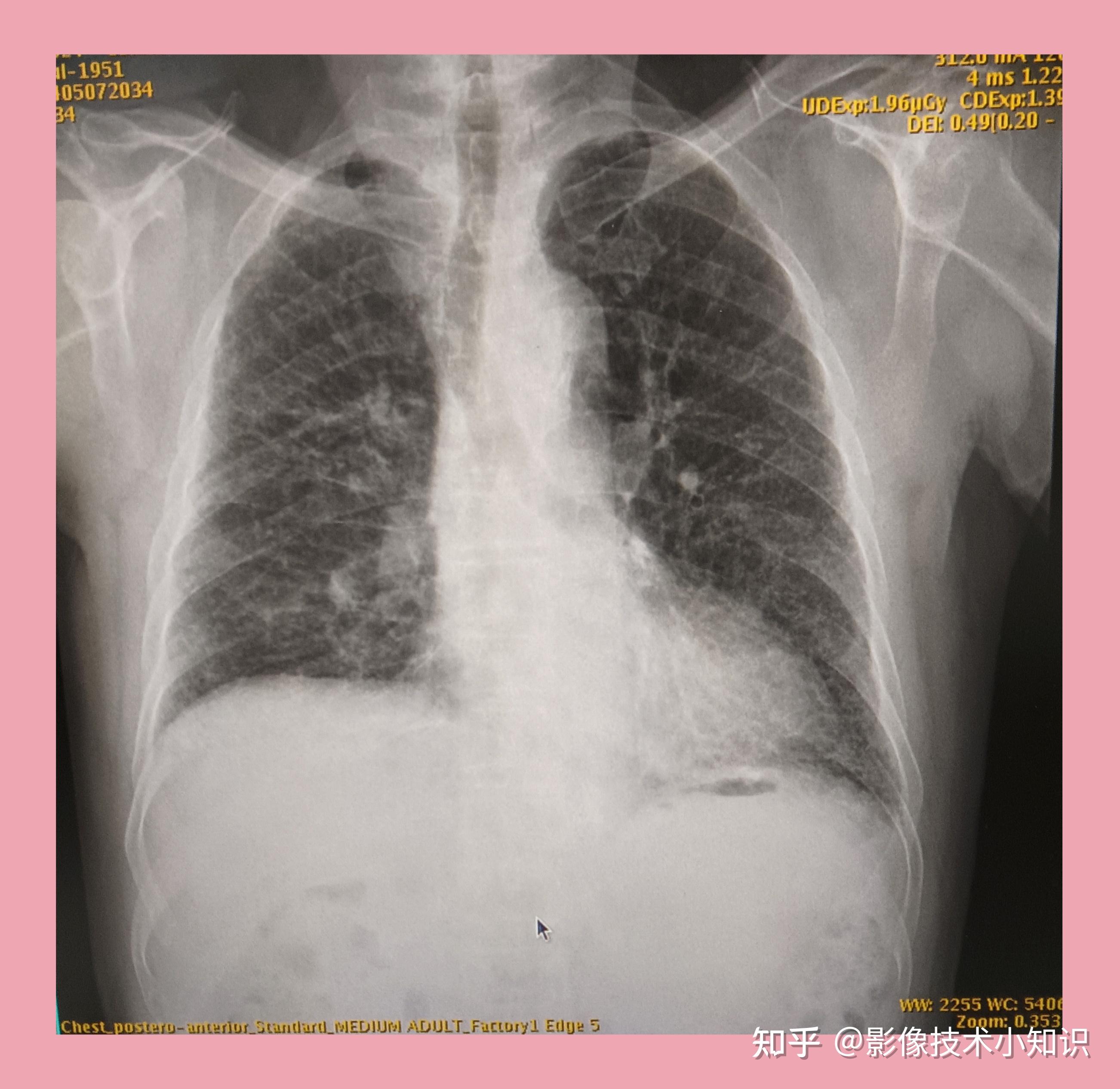
上图所示:右肺纹理增多,紊乱.右肺尖和中叶外野可以到钙化灶.
图片尺寸2604x2532
肺纹理增多严重吗?是什么病?怎么办?医生帮你解答清楚
图片尺寸1024x1024
3分钟读懂胸片上肺纹理的改变,建议收藏!-搜狐
图片尺寸618x372
做胸片检查发现双肺纹理增多是什么意思?
图片尺寸640x361
图9 双肺纹理增粗,增多,双上野明显,心影增大,注意心功能不全4.
图片尺寸675x836