肺结核x片

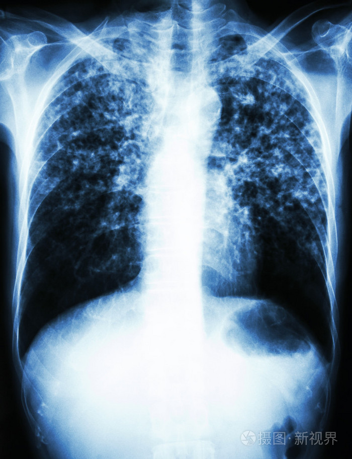
胸部x光显示晚期肺结核
图片尺寸1016x1200
每周胸片92期观影识病肺结核病治疗过程系列片如何描述和诊断
图片尺寸574x673
肺结核. 旧病人的胸部x线片
图片尺寸700x960
各型肺结核的典型影像表现
图片尺寸600x450
没有症状怎么可能患肺结核呢部分肺结核可以没有症状
图片尺寸848x565
肺结核 - 好大夫在线
图片尺寸3264x2448
很痛心自行按肺结核治疗3个月复查的胸片
图片尺寸3264x2448
陈起航教授:肺结核的影像学评价——遏制,终止,终结肺结核(2)_腾讯
图片尺寸1000x554
肺结核
图片尺寸998x1200
肺结核在胸片上的表现
图片尺寸1072x1920
活性肺结核
图片尺寸1200x800
结核分枝杆菌感染(肺结核)
图片尺寸700x912
结核菌能附在衣服上吗 得过肺结核能上保险吗
图片尺寸1242x1656
问:请问我这是肺结核吗?如果是,有什么治疗意见呢?严重不?
图片尺寸3328x1872
考虑肺结核?还是占位?
图片尺寸3000x4000
外伤发现的同心圆空洞,肺结核?
图片尺寸2000x2383![【求助】令人蛋疼的肺结核,请各位老师支招! [病例帖]](https://i.ecywang.com/upload/1/img2.baidu.com/it/u=3765532819,1416502770&fm=253&fmt=auto&app=138&f=JPEG?w=667&h=500)
【求助】令人蛋疼的肺结核,请各位老师支招! [病例帖]
图片尺寸3264x2448
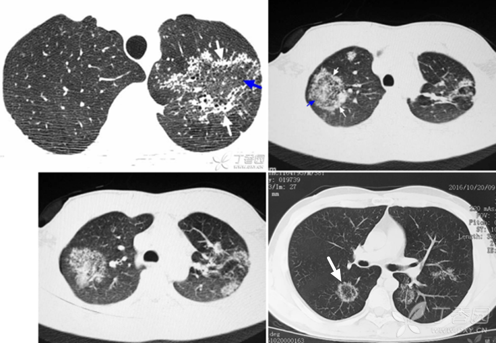
另外两例:反晕征---肺结核.
图片尺寸999x691
结核分枝杆菌感染(肺结核)
图片尺寸969x1200
原创江苏扬州大学爆肺结核疫情校方数名患病学生已入院治疗
图片尺寸1280x1104