肺结节解剖

应好友呼吸科莫建明主任之邀,画个肺结节特征分解图,用于科普授课
图片尺寸1080x1398
胸腔内解剖标记更多肺小结节/磨玻璃结节处理案例请点击:案例库
图片尺寸1299x756
肺结节在体检中并不少见,它就像肺部里的 "小疙瘩",但可不是都一样的
图片尺寸2000x2245
图片尺寸2160x2880
肺结节与槲皮素的关系
图片尺寸1080x1410
女子肺部高危磨玻璃结节,个体化治疗最大限度保留健康肺组织
图片尺寸1080x1350
肺结节的三种分布模式
图片尺寸796x948
医学科普 #肺结节科普 #肺结节 五张图教你看懂肺部玻璃结
图片尺寸1072x2092
左肺上叶尖后段结节.#左肺上叶解剖 #左肺解剖 #左肺上叶楔
图片尺寸1440x1920
右肺下叶背段结节严重吗
图片尺寸1500x1000
肺结节的五种形态介绍
图片尺寸1440x2130
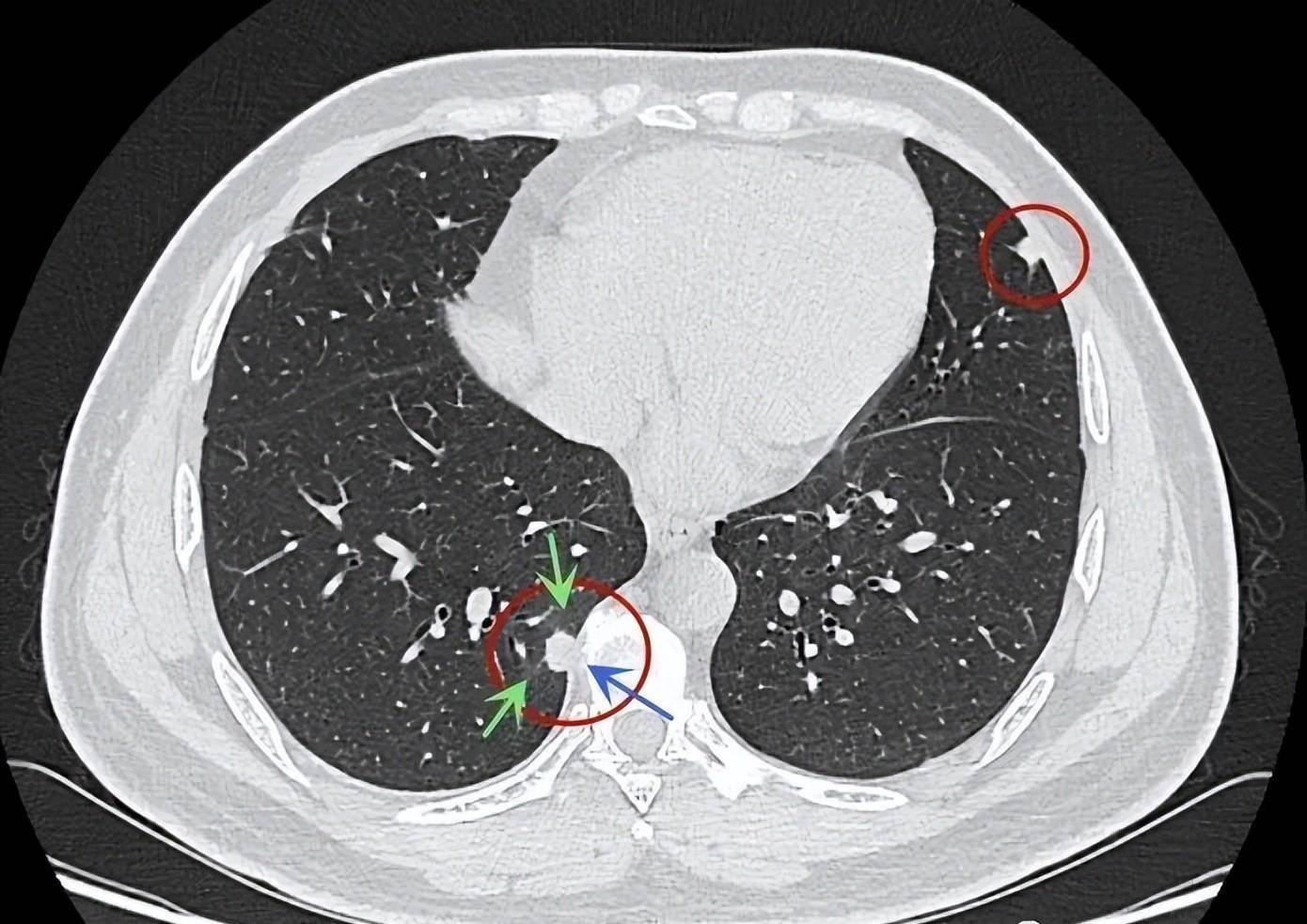
我认真看了她的肺结节,位于右肺下叶,直径约1厘米,属于混杂密度磨
图片尺寸1279x1123
左肺斜裂是左肺上叶和下叶之间的自然解剖分隔,而实性结节是指在影像
图片尺寸750x1000
肺结节分类及影像解析,你了解多少?
图片尺寸1153x1050
在肺结节患者的咨询中,"要观察到什么时候才算结束" 是患者经常问的
图片尺寸1063x1200
肺部ct图像详解:识别不同结节类型
图片尺寸538x926
肺部结节是怎么回事严重吗
图片尺寸600x600
肺结节和肺癌什么关系?医生说出实话
图片尺寸1390x983
北京大学国际医院胸外科科普系列
图片尺寸909x909
发现肺结节,复查时不要犯这4个错误!
图片尺寸533x695