肺结节靠近胸膜

胸膜结节
图片尺寸2100x1574
右下肺胸膜下实性结节考虑为炎性增殖灶,属于良性结节左下肺毛玻璃
图片尺寸1057x603
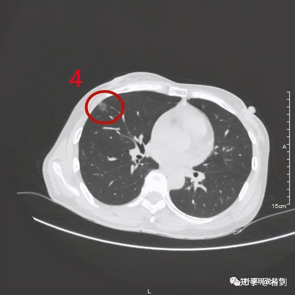
患者,女,51岁,体检发现右肺结节,胸部ct:右肺上叶胸膜下磨玻璃结节
图片尺寸300x225
肺部结节莫要慌,观察影像是重点70
图片尺寸1080x975
剪头所示为右肺下叶混合性磨玻璃结节,位于胸膜下,结节的实性分成比例
图片尺寸1440x1080
问诊分析:疑难病例-这样的肺实性空洞结节会是什么性质?
图片尺寸906x911
肺结节 #肺癌 #胸膜下结节_
图片尺寸1080x680
肺结节伴胸膜牵拉,毛刺是癌吗?肿瘤科医生患肺结节也焦虑
图片尺寸640x853
结节很小,直径6mm,但已经牵拉胸膜,需要密切随访了.
图片尺寸640x373
7.15):年轻女性随访增大的肺实性结节会是肺癌吗?
图片尺寸512x512
磨玻璃结节或实性肺结节胸膜征象鉴别良恶性
图片尺寸1080x1439
问诊分析202431735岁发现肺结节已经2年余约5毫米但靠胸膜近需要尽早
图片尺寸878x690
边缘比较模糊,是一个磨玻璃结节,没有明显的血管进入,而且距胸膜的
图片尺寸1107x1080
问诊分析2023417肺不规则实性结节伴胸膜牵拉是不是要考虑肺癌
图片尺寸1080x1122
两肺多达9处结节是否要手术临床如何决策
图片尺寸1024x1024
混合磨玻璃结节胸膜牵拉我的果断建议
图片尺寸887x729
右肺中叶胸膜下结节,巨恐,请大咖帮忙分析下
图片尺寸1440x2560
结节有轻度胸膜牵拉,但收缩力不大,没有毛刺和分叶.
图片尺寸1080x918
下面是胸膜结节层面,考虑胸膜增厚,良性
图片尺寸2667x2000
珍藏肺结节常见的恶性影像特征汇总
图片尺寸1080x831