肺结节 良性

刘懿博士说肺癌二五九〇切之前知道俩肺结节是良性但不是一种病
图片尺寸1354x913
刘懿博士说肺癌二五九〇切之前知道俩肺结节是良性但不是一种病
图片尺寸1354x1006
查出肺结节也不可怕,90%以上都是良性 - 抖音
图片尺寸1919x1440
如何辨别肺结节是良性还是恶性?主要看三点
图片尺寸640x517
越小的肺结节是良性的可能性越大吗?
图片尺寸1056x541
考虑是良性的肺结节为什么仍建议其手术
图片尺寸1080x810
咳嗽发现肺结节,3天没睡好,手术切开是良性,赚了还是赔了?
图片尺寸709x382
肺结节良恶性的六大鉴别要点
图片尺寸1242x2208
肺结节_良性肺结节的六个特征-第1张图片-体检知音
图片尺寸984x758
查出肺结节若分不清是良性还是病变前兆不妨观察这2方面
图片尺寸640x445
良性肺结节增大多考虑什么
图片尺寸430x313
刘懿博士说肺癌三〇二七我说肺结节是良性找别人切了是良性么
图片尺寸1354x1303
深度解析肺结节良恶性鉴别_肺癌_检查_介绍 - 好大夫在线
图片尺寸640x379
刘懿博士说肺癌五六九五体检出一厘米肺结节不像肺癌而像良性的
图片尺寸757x640
体检报告,肺部结节,考虑增殖灶可能性,这种严重吗?
图片尺寸640x673
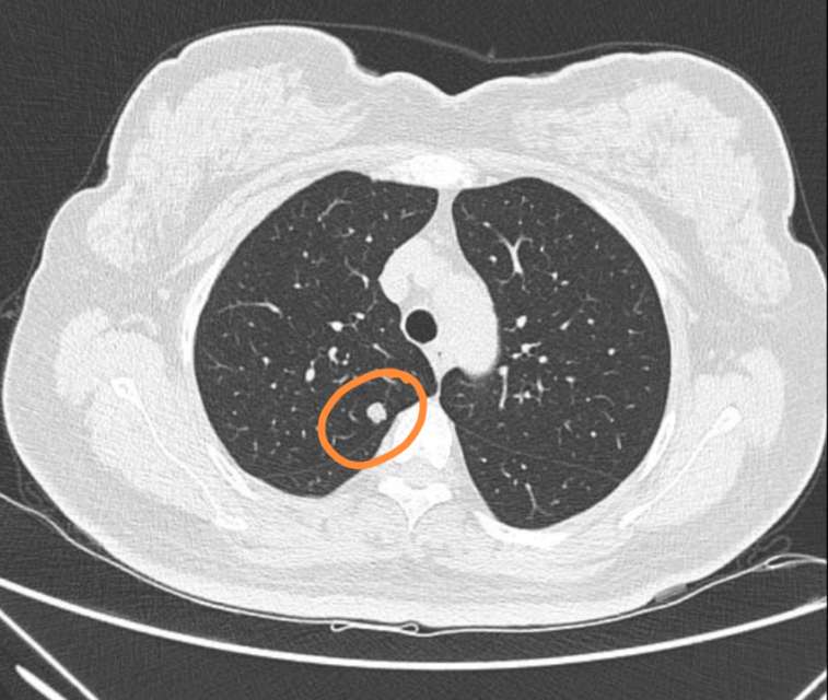
肺实性结节良恶性倾向度
图片尺寸3648x2736
影像剖析:肺结节良恶性辨别典型病例分享_医学界-助力医生临床决策和
图片尺寸1080x1080
9):肺结节良恶性的判断,这一点最重要|肺结节良|判断|恶性|影像|血管
图片尺寸885x713
有可能!一般来说,发现肺结节之后,需要分三步走
图片尺寸640x496
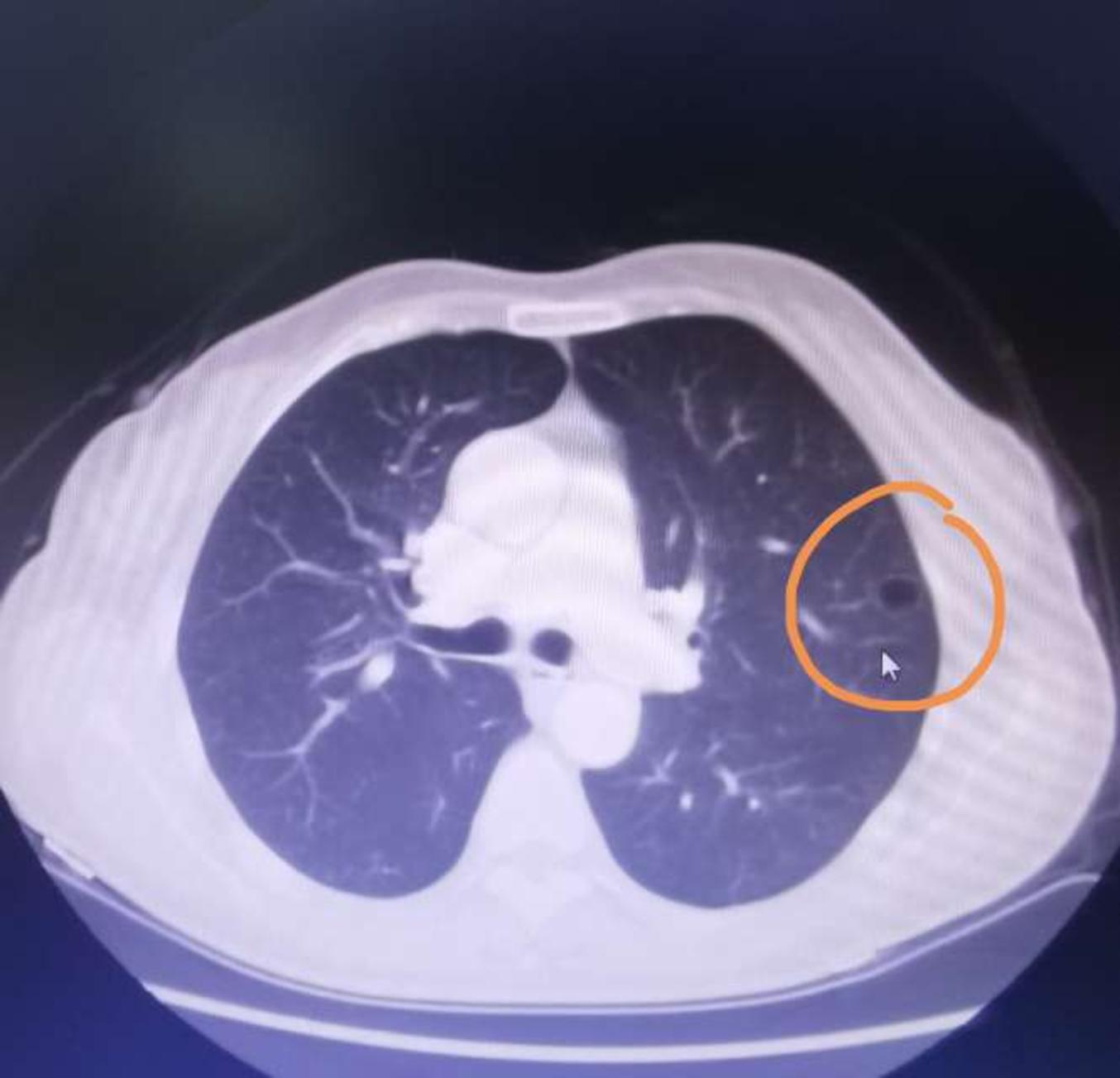
11):这个肺结节伴空腔我判断为良性可能性大-空腔征在实性结节中的
图片尺寸849x660