肺结节CT

166图一:正常的肺ct 266图二:肺结节(外围磨玻璃影) 3 - 抖音
图片尺寸960x960
肺内结节通常在 ct 扫描中被检测为肺上的"白点"或"阴影",其形状为
图片尺寸640x687
肺结节如何分辨,我手把手教你!16615图一:正常的肺 ct 2 - 抖音
图片尺寸871x871
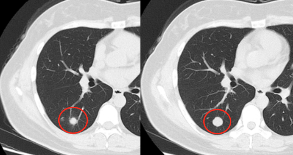
ct扫描发现右上肺小结节.
图片尺寸2100x1657
12.18 ct发现大小近1cm的结节
图片尺寸512x512
图文教你看懂恶性肺结节的ct表现
图片尺寸3968x2976
ct50211:两肺弥漫性小结节,进行性增多,如何诊断
图片尺寸1546x1900
ct50211:两肺弥漫性小结节,进行性增多,如何诊断
图片尺寸1546x1900
图文教你看懂恶性肺结节的ct表现
图片尺寸3968x2976
胸部ct提示右肺直径大小5mm肺结节老师们帮忙看看男性患者29岁吸烟史2
图片尺寸1170x1386
一照ct肺有小结节我会是肺癌吗
图片尺寸1840x3264
青年男性胸部结节ct检查
图片尺寸529x413
查出肺结节,哪3种需要动手术?医生用ct片举例说明
图片尺寸640x343
ct查出肺结节为什么不切等它长大吗
图片尺寸1000x932
术后马上ct复查,结节边缘仅见少许出血,无气胸
图片尺寸2133x1200
结节内纤维瘢痕收缩牵拉,致胸膜有增厚和粘连,形成脐凹型肺结节ct表现
图片尺寸3648x2736
ct查出肺结节有什么手段辅助查性质为什么有的肺癌不是结节也要切
图片尺寸1000x530
图文教你看懂恶性肺结节的ct表现
图片尺寸3648x2736
图文教你看懂恶性肺结节的ct表现
图片尺寸3648x2736
图文教你看懂恶性肺结节的ct表现
图片尺寸3968x2976