肺结节ct图片

肺结节吃什么食物散结节最快_散结节的土方偏方_甲亢治疗土方偏方验方
图片尺寸1574x1600
肺内结节通常在 ct 扫描中被检测为肺上的"白点"或"阴影",其形状为
图片尺寸640x687
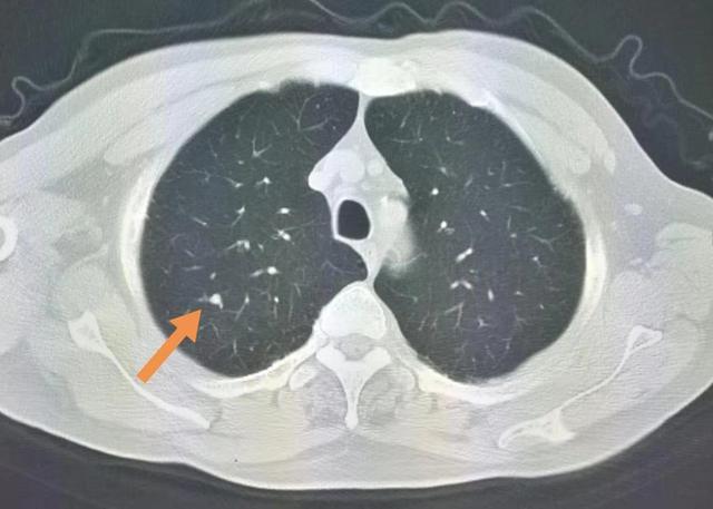
ct扫描发现右上肺小结节.
图片尺寸1544x2054
图文教你看懂恶性肺结节的ct表现
图片尺寸3968x2976
重庆的一位医生朋友问我,三年前他在偶尔一次ct扫描中发现肺部结节
图片尺寸1080x810
什么样的肺结节要及时处理不然容易癌变
图片尺寸640x457
ct50211:两肺弥漫性小结节,进行性增多,如何诊断
图片尺寸1546x1900
ct发现肺结节这篇文章信息比较全
图片尺寸1280x935
肺结节穿刺找到癌细胞,像下面这位患者因为咳嗽到医院就诊,查胸部ct
图片尺寸512x512
胸部ct提示右肺直径大小5mm肺结节老师们帮忙看看男性患者29岁吸烟史2
图片尺寸1170x1386
主要表现咳嗽,少许灰痰,无发热等毒性症状,胸部ct示右下肺类圆形结节
图片尺寸1080x603
图文教你看懂恶性肺结节的ct表现
图片尺寸3968x2976
图一:正常的肺 ct 图二:纯实性结节: 纯实性结节类似于单独分离的
图片尺寸1280x1280
2020.12.18 ct发现大小近1cm的结节
图片尺寸512x512
ct查出肺结节为什么不切等它长大吗
图片尺寸1000x932
ct扫描发现右上肺小结节.
图片尺寸2100x1657
图文教你看懂恶性肺结节的ct表现
图片尺寸3648x2736
肺ct显示右肺中下叶7mm浅淡结节影,密度不均匀,重建显示为片状病灶
图片尺寸3264x2448
新冠刚刚转阴,一拍ct发现,肺结节18×12mm
图片尺寸640x648
图文教你看懂恶性肺结节的ct表现
图片尺寸3968x2976