肺结节ct图片肺部

肺结节ct读片:胶片,厚层图像,薄层图像哪个最佳?
图片尺寸1860x1944
肺结节ct及病理诊断 - 抖音
图片尺寸1024x1023
双肺多发小结节,建议定期复查是怎么回事?
图片尺寸640x581
典型吸烟导致肺癌的ct图像,2.9cm肺结节,有毛刺,分叶, - 抖音
图片尺寸1440x1920
166图一:正常的肺ct 266图二:肺结节(外围磨玻璃影) 3 - 抖音
图片尺寸960x960
对于小于 5mm 的肺部磨玻璃结节,推荐在1年后进行胸部ct复查.
图片尺寸976x1280
胸部ct提示右肺直径大小5mm肺结节老师们帮忙看看男性患者29岁吸烟史2
图片尺寸1170x1386
图一:正常的肺 ct 图二:纯实性结节: 纯实性结节类似于单独分离的
图片尺寸1280x1280
图1:正常的肺ct 图2:肺部膜玻璃结节 - 抖音
图片尺寸1440x2160
骨肉瘤患者新发肺结节怎么办?骨肉瘤患者如果肺部ct发现新发结 - 抖音
图片尺寸1919x1683
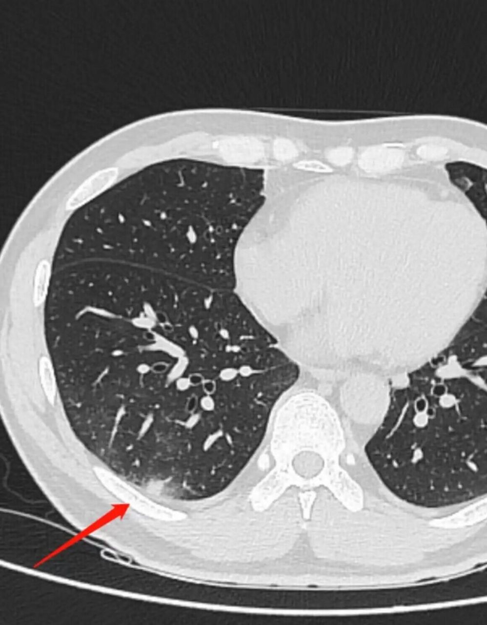
患者因"体检发现左肺下叶结节5天"来诊,完善ct检查发现左肺下叶背段
图片尺寸982x692
患者咳嗽,咳痰,发现右肺下叶毛刺样结节,左肺下叶见感染灶
图片尺寸1920x1440
结节不用再担心了,这个小方子有奇效 张女士32岁,体检发现左肺上叶
图片尺寸998x1280
阳春市人民医院:规范检查,早期处理肺结节是治疗肺癌的关键,莫让肺
图片尺寸1021x751
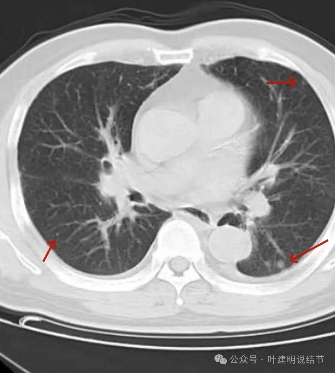
肺部ct永远不会出现这8种情况: 1,右肺下叶胸膜下可疑磨玻璃小结节影
图片尺寸1606x1280
发现肺部结节该如何随访?平时怎样注意
图片尺寸1080x2504
误以为是恶性结节,千万别忽视影像的局限!
图片尺寸1080x1205
肺ct上显示结节是4a级代表什么意思?
图片尺寸640x504
肺部ct有结节,再次检查后没有发现肺结节,"消失"的肺结节是怎么回事?
图片尺寸597x375
恩次方全民防癌中心指出,肺磨玻璃结节是一种在肺部ct影像上呈现为
图片尺寸640x339