肺结节ct图片螺旋

年轻女性肺结节一例 - 好大夫在线
图片尺寸1652x1270
图文教你看懂恶性肺结节的ct表现
图片尺寸3968x2976
ct50211:两肺弥漫性小结节,进行性增多,如何诊断
图片尺寸1546x1900
图文教你看懂恶性肺结节的ct表现
图片尺寸3648x2736
图1:正常的肺ct 图2:肺部膜玻璃结节 - 抖音
图片尺寸1440x2160
图一:正常的肺 ct 图二:纯实性结节: 纯实性结节类似于单独分离的
图片尺寸1280x1280
右肺结节
图片尺寸3024x3024
ct50211:两肺弥漫性小结节,进行性增多,如何诊断
图片尺寸1546x1900
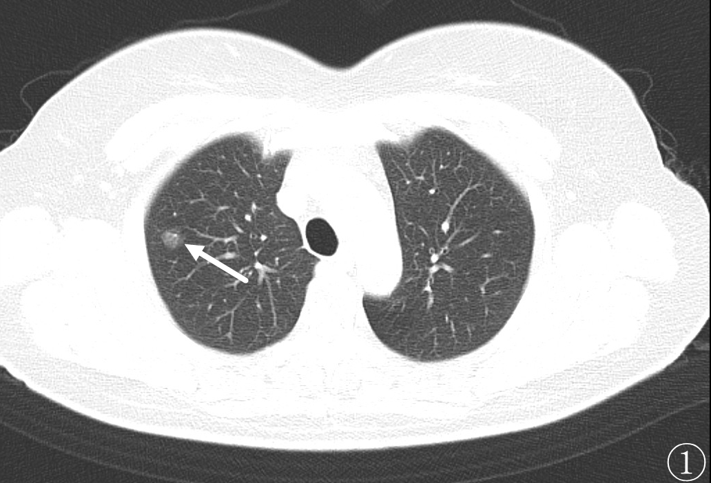
ct扫描发现右上肺小结节.
图片尺寸2100x1657
图文教你看懂恶性肺结节的ct表现
图片尺寸3648x2736
图文教你看懂恶性肺结节的ct表现
图片尺寸3648x2736
图文教你看懂恶性肺结节的ct表现
图片尺寸3648x2736
什么样的肺结节要及时处理不然容易癌变
图片尺寸640x457
图文教你看懂恶性肺结节的ct表现
图片尺寸3968x2976
图文教你看懂恶性肺结节的ct表现
图片尺寸3968x2976
图文教你看懂恶性肺结节的ct表现
图片尺寸3648x2736
大叔0.6厘米肺结节不放心上,3年没复查变晚期,结节可以不复查吗
图片尺寸640x436
针芯化结厦门市中医院首例ct引导下肺结节微波消融
图片尺寸1032x702
图文教你看懂恶性肺结节的ct表现
图片尺寸3648x2736
图文教你看懂恶性肺结节的ct表现
图片尺寸3648x2736