肺肿瘤图片真实
![这个肺部肿瘤藏得深,胸片分分钟漏诊,追踪下来该来的都来了 [病例帖]](https://i.ecywang.com/upload/1/img0.baidu.com/it/u=1021390156,1309419346&fm=253&fmt=auto&app=138&f=JPEG?w=500&h=667)
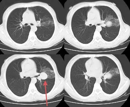
这个肺部肿瘤藏得深,胸片分分钟漏诊,追踪下来该来的都来了 [病例帖]
图片尺寸1080x1440
肺癌肿瘤致千疮百孔 精准靶向成功修补
图片尺寸576x492
看图说肺囊泡性肺癌
图片尺寸700x676
左肺巨大肿瘤的临床决策思路分享
图片尺寸1080x1440
肺部肿瘤巨大侵犯大血管大气管就不能手术了吗
图片尺寸2736x3648
肺活检病理提示肺癌手术切下来却是良性肿瘤这误诊么
图片尺寸448x368
切下的右全肺及肿瘤
图片尺寸1440x1080
罕见男子两肺长出两种肿瘤
图片尺寸600x1335
右肺尖肿瘤,16个月迅速长大
图片尺寸1600x1200
肺肿瘤
图片尺寸965x724
本病例考虑到肿瘤范围大,与血管,心包,肺等均有密切关系,经左胸胸腔镜
图片尺寸1200x1600
吸烟多年而患肺癌的患者身上切下的 吸烟多年而患肺癌 肺脏肿瘤,长度
图片尺寸1080x810
左胸腔巨大肿瘤,左肺完全肺不张,纵隔右移!
图片尺寸2667x2000
清扫术 胸腔粘连松懈术,麻醉显效后,患者取左侧卧位,常规消毒肿瘤大小
图片尺寸1080x1440
肺上长肿瘤良性的也会长大吗「肺上肿瘤有没有良性的」-友友
图片尺寸1600x1227
有一种长在肺部的肿瘤,随随便便就活过5年,不是肺癌,源自血液
图片尺寸1200x747
右侧中心型肺癌,右肺切除术后两年,术后残腔?——中心医院病例库
图片尺寸1333x1026
pdf影像中山大学附属肿瘤医院ct检查报告年龄: 65性别: 男申请科室
图片尺寸3024x4032
01.15入我院肿瘤内科,入院后考虑:1.消化道肿瘤 2.
图片尺寸1202x1200
岳母肺部肿瘤病情演变
图片尺寸1280x960