肺脓肿影像图片

肺脓肿(陶宗贵济南市人民医院影像)
图片尺寸512x512
肺脓肿
图片尺寸1600x1200![【分享】胸部影像学 [ 三] 肺脓肿](https://i.ecywang.com/upload/1/img2.baidu.com/it/u=2736565194,2240850268&fm=253&fmt=auto&app=138&f=JPEG?w=500&h=382)
【分享】胸部影像学 [ 三] 肺脓肿
图片尺寸634x484
肺脓肿
图片尺寸3370x3370
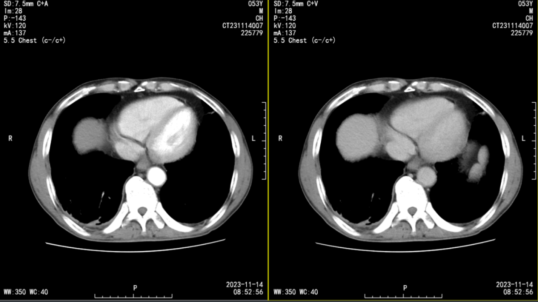
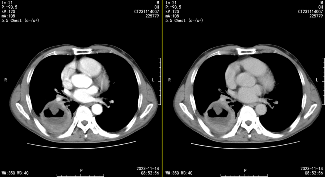
肺脓肿,脓毒性肺栓塞丨影像表现
图片尺寸994x485
男性52岁,咳嗽,咳痰5天,胸部ct示肺脓肿,可能的病原菌?
图片尺寸803x531
左侧脓胸病例分享
图片尺寸1497x1200
血源性多发性肺脓肿
图片尺寸823x516
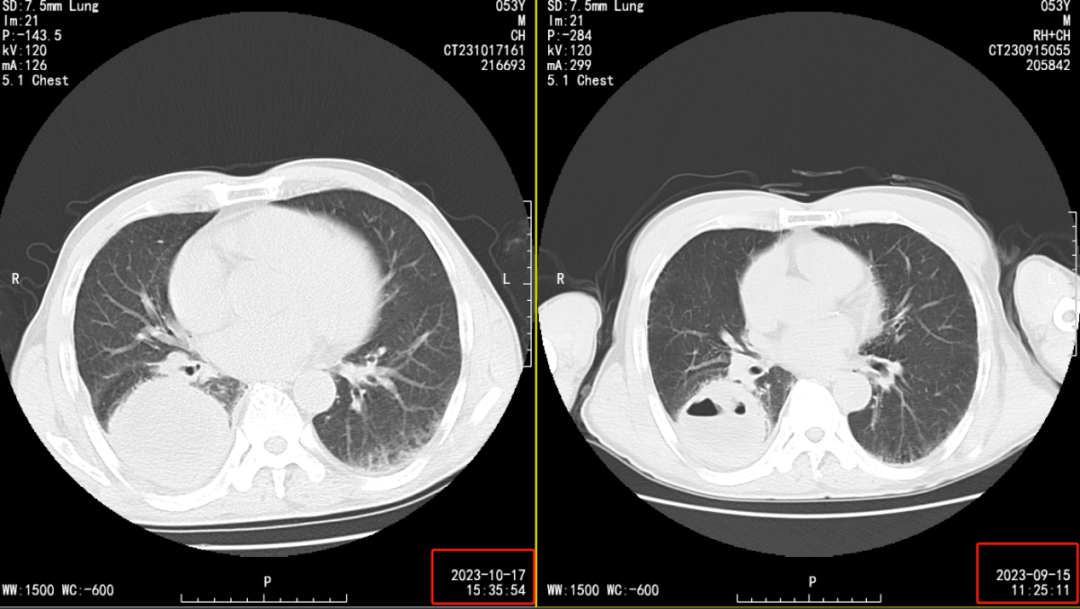
让人匪夷所思的「肺脓肿」,并非你所想_病灶_影像_复查
图片尺寸1080x608
让人匪夷所思的「肺脓肿」,并非你所想_病灶_影像_复查
图片尺寸1080x609
让人匪夷所思的「肺脓肿」,并非你所想_病灶_影像_复查
图片尺寸1080x591
【病例讨论】左中下肺脓肿的治疗(41楼有病理结果)
图片尺寸1944x2592
肺脓肿
图片尺寸1200x1600
丁香园论坛 - 专业医生社区,医学,药学,生命科学,科研学术交流
图片尺寸648x492
【影像读片】肺脓肿合并脓胸?
图片尺寸3264x2448
慢性肺脓肿一例——陶宗贵,莱芜市医院
图片尺寸960x1280![【影像读片】是肺脓肿?-有病理 [病例帖]](https://i.ecywang.com/upload/1/img0.baidu.com/it/u=4255091480,499594025&fm=253&fmt=auto&app=138&f=JPEG?w=500&h=281)
【影像读片】是肺脓肿?-有病理 [病例帖]
图片尺寸1920x1080
肺脓肿?请大家看看 - 医学影像学讨论版 - 爱爱医医学论坛
图片尺寸512x512
【讨论】考虑慢性肺脓肿,请大家帮忙看看. - 影像核医学 -丁香园论坛
图片尺寸1460x1740
肺脓肿
图片尺寸1014x531