肺脓肿CT图片

ct诊断报告书写技巧
图片尺寸1280x679
肺脓肿ct图
图片尺寸2666x2000
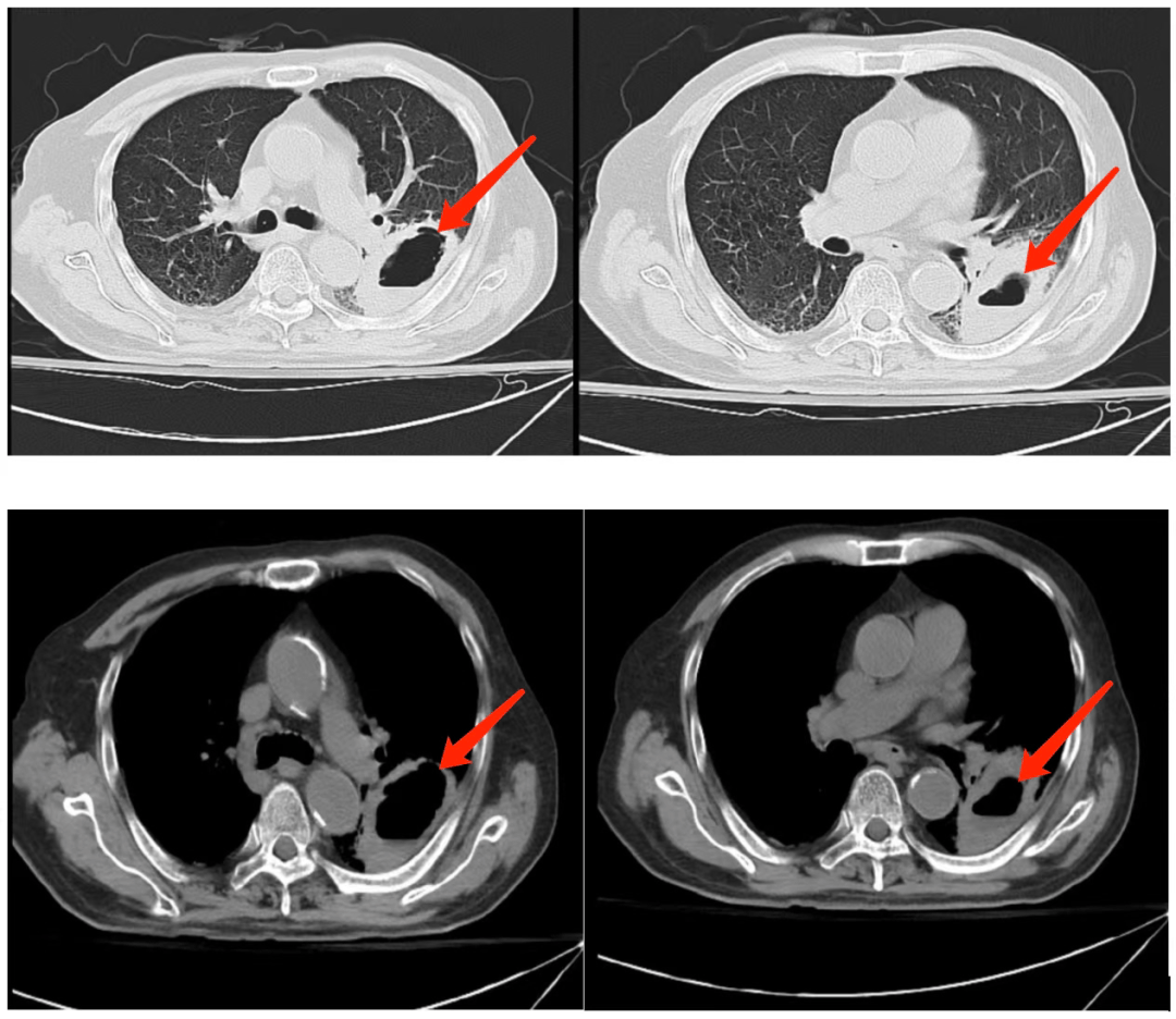
一个肺脓肿患者,差点被误诊为肺癌 这个病人50岁,咳嗽,咳痰四五天了
图片尺寸1753x1280
肺脓肿
图片尺寸1080x683
肺脓肿是由多种病原体引起的肺部化脓性感染,导致组织坏死,液化,形成
图片尺寸960x1280
胸部影像 1 肺泡性肺水肿
图片尺寸1920x1920
"患难兄弟"的脓胸治疗在肺科医院实现转机
图片尺寸1080x1727
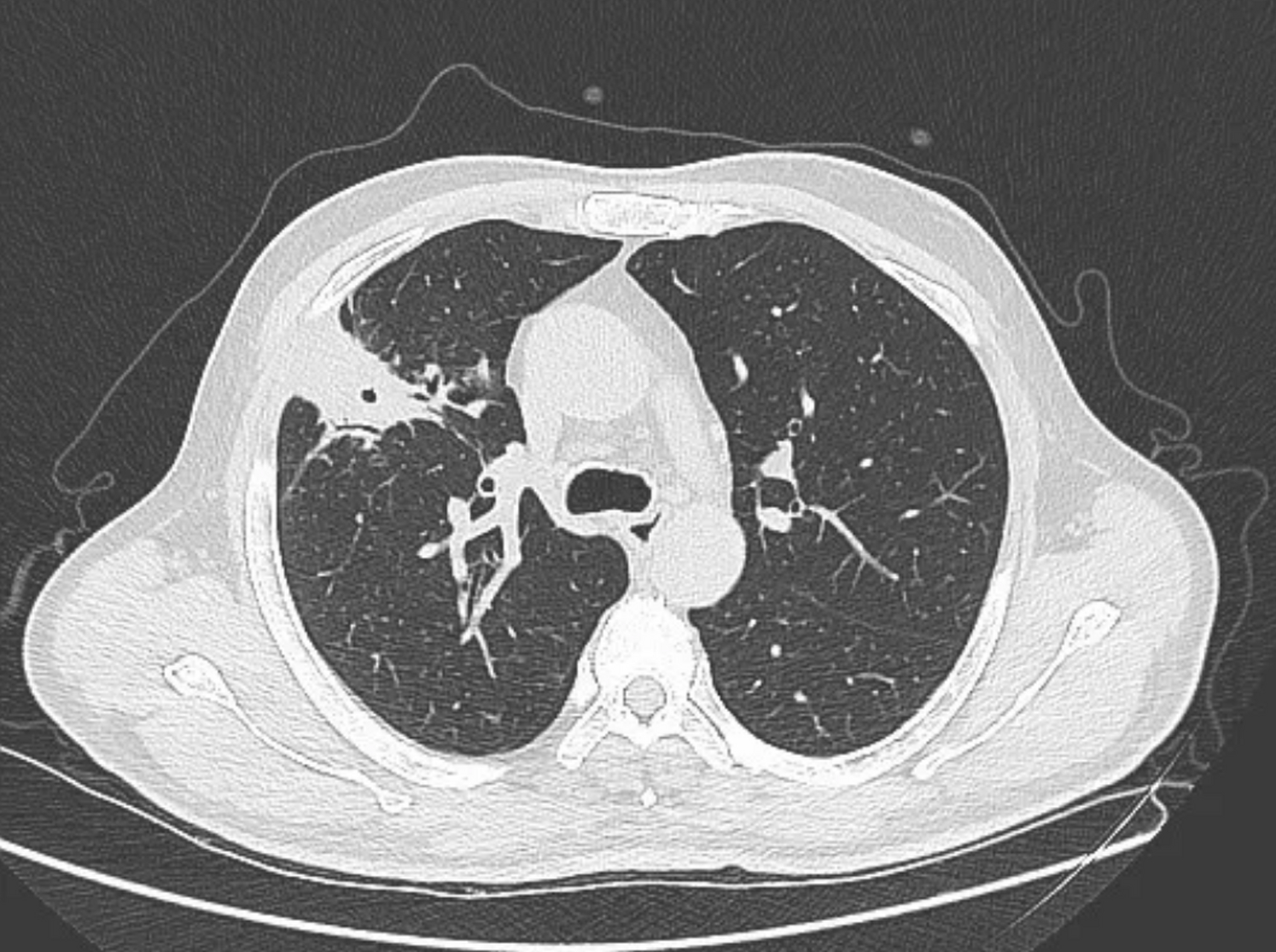
ct 影像显示肺部存在一个大厚壁空洞,大小 62*44mm,需要鉴别脓肿伴
图片尺寸1080x936
一个肺脓肿患者,差点被误诊为肺癌 这个病人50岁,咳嗽,咳痰四五天了
图片尺寸1715x1280
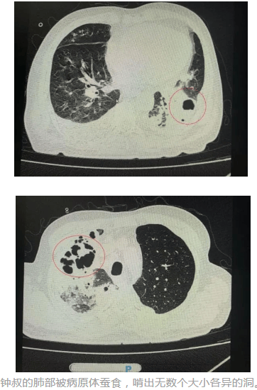
男性57岁,咳嗽,咳痰半月,肺脓肿猜病原体
图片尺寸785x568
呼吸系统疾病肺脓肿ppt模板
图片尺寸840x1188
肺脓肿临床表现ppt
图片尺寸840x1188
肺脓肿
图片尺寸1080x662
患者高热数月无法控制,阻塞性肺炎伴脓肿,抗感染治疗无效,为何多次经
图片尺寸335x827
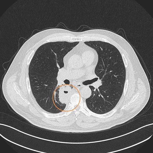
这是个肺脓肿,不是肺癌,别怕
图片尺寸512x512
图片尺寸362x550
高热咳嗽咳痰 胸闷气短 小心肺脓肿
图片尺寸802x802
厌氧菌肺脓肿/脓胸的诊断和治疗
图片尺寸831x622
慢阻肺急性加重,抗菌药,激素治疗均无效,这个病因千万别漏诊!
图片尺寸1000x1221
绝非易事,纤维板剥脱手术难度较大,胸腔粘连严重,易造成大出血,肺破裂
图片尺寸1348x1348