肺血管炎

显微镜下多血管炎1例——病例回顾(五)
图片尺寸600x648
肉芽肿性血管炎合并弥漫性肺泡出血一例
图片尺寸498x375
肉芽肿性血管炎合并弥漫性肺泡出血一例
图片尺寸500x348
学术交流 | 系统性血管炎的肺部影像学表现及鉴别诊断
图片尺寸865x812
anca相关性血管炎 | "肺"常表现,非常多样
图片尺寸306x216
学术交流 | 系统性血管炎的肺部影像学表现及鉴别诊断
图片尺寸865x1441
肺磨玻璃结节里有血管穿过,意味着什么?
图片尺寸828x734
肉芽肿性多血管炎(肺部病变)
图片尺寸1146x749
左肺舌叶支气管可见较多鲜红色血液附着管壁,给予吸出后仍可见新鲜
图片尺寸460x490
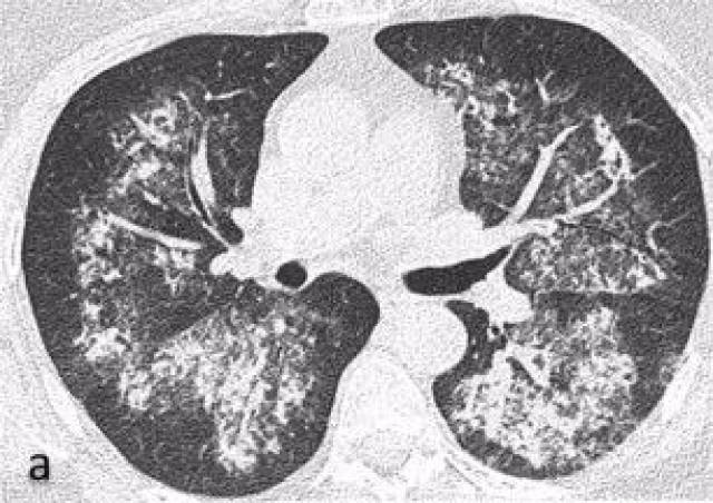
轴位hrct显示双肺多发结节,结节周边磨玻璃影(晕征).
图片尺寸865x524
系统性血管炎的肺部影像学表现及鉴别诊断_血管炎_症状表现_检查 - 好
图片尺寸686x718
这个肺血管病,罕见中的罕见!
图片尺寸640x475
结缔组织病系统性血管炎药物诱发的肺疾病职业性肺疾病丨肺hrct表现
图片尺寸633x880
肺充血(图) 5
图片尺寸1080x810
肉芽肿性血管炎合并弥漫性肺泡出血一例
图片尺寸535x379
wg(韦格纳氏肉芽肿)——肉芽肿性多血管炎
图片尺寸639x332
肉芽肿性血管炎合并弥漫性肺泡出血一例
图片尺寸490x356
患者体健发现双肺斑片影2 年,活动后咳嗽,气促1 年,加重1 月 患者年龄
图片尺寸3840x2160
肉芽肿性血管炎合并弥漫性肺泡出血一例
图片尺寸471x340
结缔组织病系统性血管炎药物诱发的肺疾病职业性肺疾病丨肺hrct表现
图片尺寸543x906