肺血管cta解剖图

肺动脉及主动脉cta新技术介绍
图片尺寸1080x1080
如何做好支气管动脉cta
图片尺寸1080x1097
冠状动脉cta你了解吗
图片尺寸1024x1024
《艾氏解剖学视频》;3.
图片尺寸640x480
谁都可以做肺动脉cta吗?
图片尺寸437x685
肺动脉解剖
图片尺寸615x486
实验七胸部断面影像解剖ppt
图片尺寸1080x810
如何做好支气管动脉cta
图片尺寸1080x582
普及ct知识 | 肺部体检一定要查ct,而不是胸片_肺癌_检查_检查方式
图片尺寸1987x718
ct断层上,肺动脉主干是由心脏发出的最靠前方的血管结构,其特征是肺
图片尺寸500x411
科普视窗丨发自肺腑的告白肺动脉cta
图片尺寸371x317
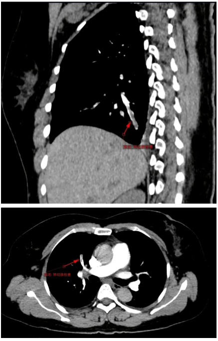
肺动脉 cta 不会看?这篇教你轻松诊断肺栓塞!
图片尺寸1080x591
ct云课堂|预培训:肺动脉及主动脉ct血管成像
图片尺寸1080x713
陪病人做急诊cta时,被ct室工作人员告知,对于血管成像,可能宝石ct更
图片尺寸2959x2792
【转】 转载:胸部ct断层解剖纵隔血管气管分支标注详解
图片尺寸503x457
解剖丨支气管动脉cta
图片尺寸930x292
如何做好支气管动脉cta
图片尺寸1080x823
事不宜迟,许嗲嗲经绿色通道被快速送入放射影像科行肺动脉cta检查.
图片尺寸638x465
胸部ct影像示意图
图片尺寸920x690
肺动脉 cta 不会看?这篇教你轻松诊断肺栓塞!
图片尺寸960x720