肺部双轨征

支气管双轨征(轨道征).jpg
图片尺寸570x402
管径一致,形成典型的双轨征(长箭头)
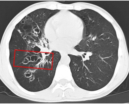
图片尺寸572x286![其中均可见多发支气管扩张和双轨征[3,4]](https://i.ecywang.com/upload/1/img1.baidu.com/it/u=1959068964,3037502360&fm=253&fmt=auto&app=138&f=JPEG?w=529&h=280)
其中均可见多发支气管扩张和双轨征[3,4]
图片尺寸529x280![低氧血症的42岁男性:左侧舌下段肺动脉双轨征(短箭头) [8]值得一提的](https://i.ecywang.com/upload/1/img0.baidu.com/it/u=3942022541,905922363&fm=253&fmt=auto&app=138&f=JPEG?w=437&h=308)
低氧血症的42岁男性:左侧舌下段肺动脉双轨征(短箭头) [8]值得一提的
图片尺寸437x308![慢性支气管炎患者的胸片:右肺门附近双轨征(箭头) [3,4]仔细观察胸片](https://i.ecywang.com/upload/1/img2.baidu.com/it/u=2663953659,1522107270&fm=253&fmt=auto&app=138&f=JPEG?w=300&h=289)
慢性支气管炎患者的胸片:右肺门附近双轨征(箭头) [3,4]仔细观察胸片
图片尺寸300x289
空洞和空腔病变傻傻分不清一文帮你搞定
图片尺寸640x480
支气管扩张影像征像
图片尺寸1080x810
支气管扩张的ct检查表现 - 医学知识与沟通交流
图片尺寸600x1362
熟练了可以肉眼观察判断,小双轨状,当然没有明显支扩.
图片尺寸596x466
稳定期哮喘患者hrct可以看到支气管壁增厚,甚至轨道征.
图片尺寸446x354
经典图谱,详细解说支气管扩张ct小诀窍:学不会我拜你为师!
图片尺寸512x410
在囊腔的里面可以看到气液平面的存在,纵切面显示的是"双轨征",横切面
图片尺寸1280x902
轨道征的影像表现与临床意义
图片尺寸350x258![【原创】庆元旦活动之五:分享典型体征及影像征象! [精华]](https://i.ecywang.com/upload/1/img2.baidu.com/it/u=2909938036,374275148&fm=253&fmt=auto&app=138&f=JPEG?w=500&h=749)
【原创】庆元旦活动之五:分享典型体征及影像征象! [精华]
图片尺寸1656x2480
图片信息
图片尺寸600x316
空洞和空腔病变傻傻分不清一文帮你搞定
图片尺寸442x357
呼吸系统x线诊断ppt
图片尺寸1080x810
经典影像教学.docx
图片尺寸834x644
支气管扩张症可由感染气道阻塞误吸遗传性疾病等引起
图片尺寸600x587
常见的x线征象解析
图片尺寸640x480