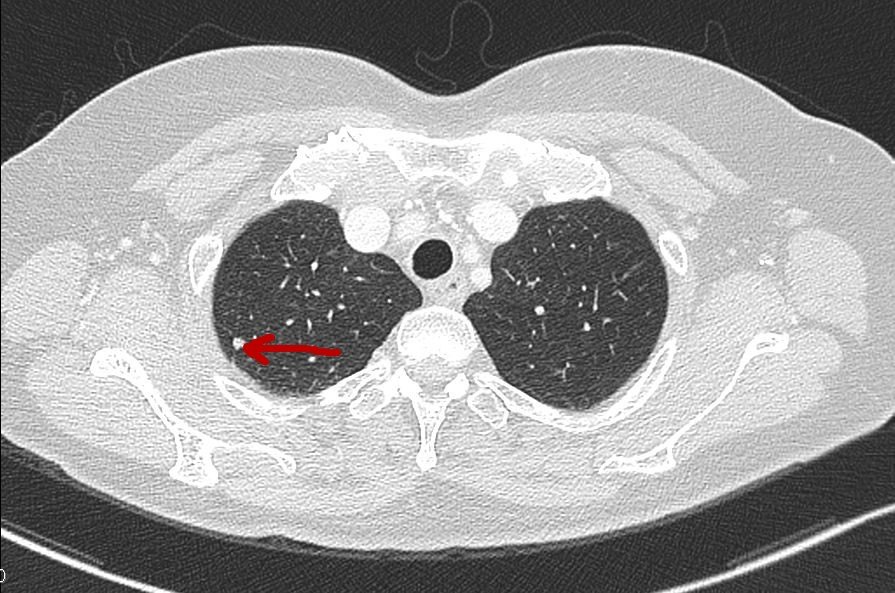
肺部小结节

这个爱美女士的肺部小结节暂时不需要手术! - 好大夫在线
图片尺寸1107x1080
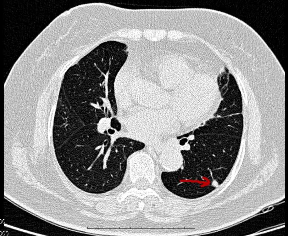
关于肺部小结节,磨玻璃样病变问题的解答--真实病例分析篇
图片尺寸895x593
肺部小结节的常见问题问答一医生是咋个从ct片上判断肺小结节性质的
图片尺寸230x326
查出肺部小结节怎么办
图片尺寸1080x1440
肺部小结节的活检 射频消融.右上肺小结节,7x3x5mm,可 - 抖音
图片尺寸1088x787
肺部小结节
图片尺寸861x609
肺部结节_肺部结节相关疾病 - 好大夫在线
图片尺寸1600x1413
肺部结节_肺部结节介绍 - 好大夫在线
图片尺寸1564x1723
体检发现肺部小结节,请教!
图片尺寸1202x761
肺部小结节
图片尺寸640x525
肺部小结节
图片尺寸3264x2448
肺部小结节我们帮您解
图片尺寸644x509
肺部有结节可以投重疾险吗 带肺结节投保了
图片尺寸1112x595
体检发现肺部小结节,是不是就是肺癌?
图片尺寸640x914
肺部小结节
图片尺寸1000x629
肺部结节_肺部结节介绍 - 好大夫在线
图片尺寸1260x1600
关于肺部小结节,磨玻璃样病变问题的解答--真实病例分析篇 - 好大夫
图片尺寸916x750
肺部小结节
图片尺寸4000x3000
肺部结节_肺部结节相关疾病 - 好大夫在线
图片尺寸1600x1400
肺部小结节有那么恐怖吗
图片尺寸723x342