肺部断层ct正常解剖图

第14页 (共48页,当前第14页) 你可能喜欢 胸部断层解剖 最全人体解剖
图片尺寸1080x810
胸部ct正常断层(李海军编辑)
图片尺寸1077x808
肺ct纵膈窗小图谱
图片尺寸555x405
ct肺的分叶分段doc
图片尺寸920x1302
肺部ct高清解剖图谱,附带详细标注
图片尺寸1534x1645
胸部ct断层解剖(纵隔窗)
图片尺寸600x905
胸部正常ct断层解剖图片
图片尺寸1196x899
胸部ct肺段划分口诀doc
图片尺寸860x1216
胸部ct断层解剖(纵隔窗) (图文)
图片尺寸600x910
肺段划分-胸部ct断层影像-肺窗(七) 解剖图片
图片尺寸1080x810
正常胸部肺窗ct解剖
图片尺寸920x1302
肺段划分-胸部ct断层影像-肺窗(六) 解剖图片
图片尺寸1080x810
肺部ct高清解剖图谱,附带详细标注
图片尺寸1534x1650
ct肺的分叶分段
图片尺寸920x1302
这样看胸部ct更易懂:胸部断层解剖及肺部分段详解!_影像_平台_微信
图片尺寸667x586
胸部ct断层解剖纵隔血管气管分支标注详解
图片尺寸503x457
断层图谱胸部ct冠状位解剖图谱
图片尺寸960x412
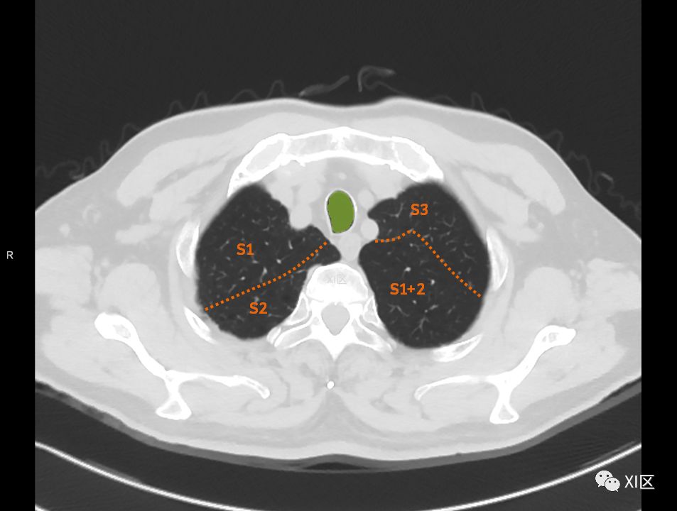
如此详细的肺部影像解剖有点儿酷
图片尺寸953x720
心室层面-胸部ct断层影像-纵隔窗(九) 解剖图片
图片尺寸1080x810
《纵膈断层解剖视频》; 2.《艾氏解剖学视频》;3.
图片尺寸640x480