肺部气液平面

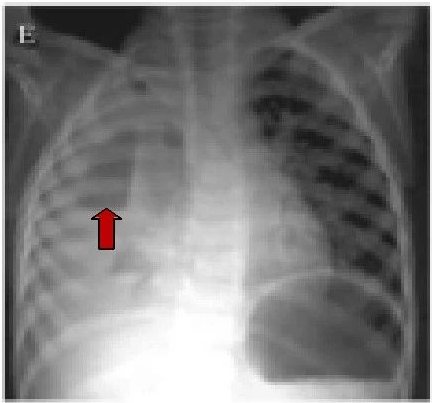
lancet插管后导致心包积气积液案例报道
图片尺寸469x304
可见到液平面及气胸.
图片尺寸1735x1341
车祸伤一小时,右肺中叶及下叶气液平面形成,可以诊断肺撕裂伤么?
图片尺寸2448x3264
影像检查发现肺部有阴影是肺癌吗
图片尺寸1080x422
肺脓肿 左肺下叶背段薄壁空洞,边缘模糊,内有气液平
图片尺寸1080x810
图 18 肺结核:右肺上叶多发空洞,内可见气液平;可见肺尖帽征图 19 肺
图片尺寸301x330
肺部感染可能出现的ct征象,你见过几个?(上)_支气管
图片尺寸256x295
气液平征03ct 可见半透明状密度增高影;主要见于病毒,支原体,真菌等
图片尺寸432x403
液气胸
图片尺寸980x1132
腹部一长液气平面
图片尺寸1536x2048
78 mb 字数: 发布时间:2017-06-11 浏览人气:13 下载次数:仅上传者
图片尺寸1152x864
患儿5岁发热干咳初始治疗好转后突然再次加重│病例新编
图片尺寸512x311
空洞气液平居然裂开了病因居然是
图片尺寸603x433
内蒙古鄂尔多斯市达拉特旗七年级生物下册432发生在肺内的气体交换第2
图片尺寸800x600
lancet插管后导致心包积气积液案例报道
图片尺寸467x288
两份保险能同时理赔吗 得过气胸能上险吗
图片尺寸1080x810
(混合型)支气管扩张并感染 平片左下肺卷发状纹 理,部分扩张支气管 内
图片尺寸1080x810
囊状影,其内壁见结节影及周围磨玻璃状渗出影,部分可见气液平面(图1)
图片尺寸632x373
入院后查肺 ct 示:右肺上叶可见多个类圆形厚壁空洞影,内见气体,最大
图片尺寸640x475
气胸_肺部_我院
图片尺寸859x574