肺部淋巴结ct

纵膈淋巴结肿大ct图
图片尺寸750x500
反复咳嗽咳痰,胸闷气紧1年,胸部ct提示纵隔多发淋巴结增大,多处浅表
图片尺寸720x1280
ct 平扫纵隔内淋巴结肿大,并融合成团,周围脂肪界面模糊,以左侧肺门区
图片尺寸676x503
纵隔淋巴结求助
图片尺寸1080x2340
学生问就报纵隔肺门淋巴结肿大行不行我说可以进一步有结果
图片尺寸512x512
8厘米肺癌,4枚淋巴结转移 这位女士50多岁,不抽烟, 因为胸疼做ct检查
图片尺寸1275x1280
柳澄讲坛丨纵隔与肺门淋巴结的识别与精准ct分区
图片尺寸1080x608
ct下看纵膈淋巴结
图片尺寸4000x3000
ct对照 | 胸部淋巴结分组
图片尺寸1200x900
淋巴结比较大(肺部感染,吸烟,空气质量差等原因),由于ct层面越来越薄
图片尺寸1536x1259
ct对照 | 胸部淋巴结分组
图片尺寸1080x810
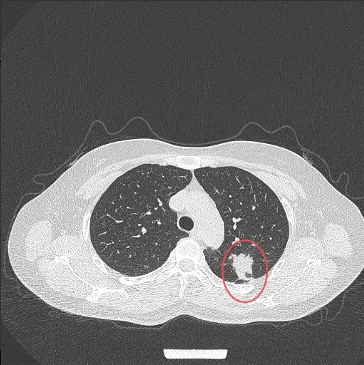
探案丨两肺多发病灶伴淋巴结肿大,看似简单也不简单
图片尺寸1080x1248
看图说肺肺内淋巴结
图片尺寸1536x1230
【病例】左肺门巨淋巴结增生1例ct影像分析
图片尺寸640x480
ct经典图谱11:肺内淋巴结,你曾经遇到过,只是不知道
图片尺寸512x512
ct对照 | 胸部淋巴结分组
图片尺寸1080x810
探案发热咳嗽多发淋巴结肿大1个月余一例
图片尺寸547x382
ct对照 | 胸部淋巴结分组
图片尺寸1080x810
肺ct基础——纵隔淋巴结的位置.重发一个,上个视频有一点小错 - 抖音
图片尺寸807x452
反复发热胸痛气促是因患了纵隔淋巴结结核
图片尺寸640x370