肺部磨玻璃结节3mm

打破恐惧:了解肺部磨玻璃结节的诊断与治疗!
图片尺寸500x329
典型的右上肺腺癌的混合密度磨玻璃结节.
图片尺寸1440x1898
65岁双肺多发磨玻璃结节介于原位到微浸润腺癌之,别急,可以等等
图片尺寸640x883
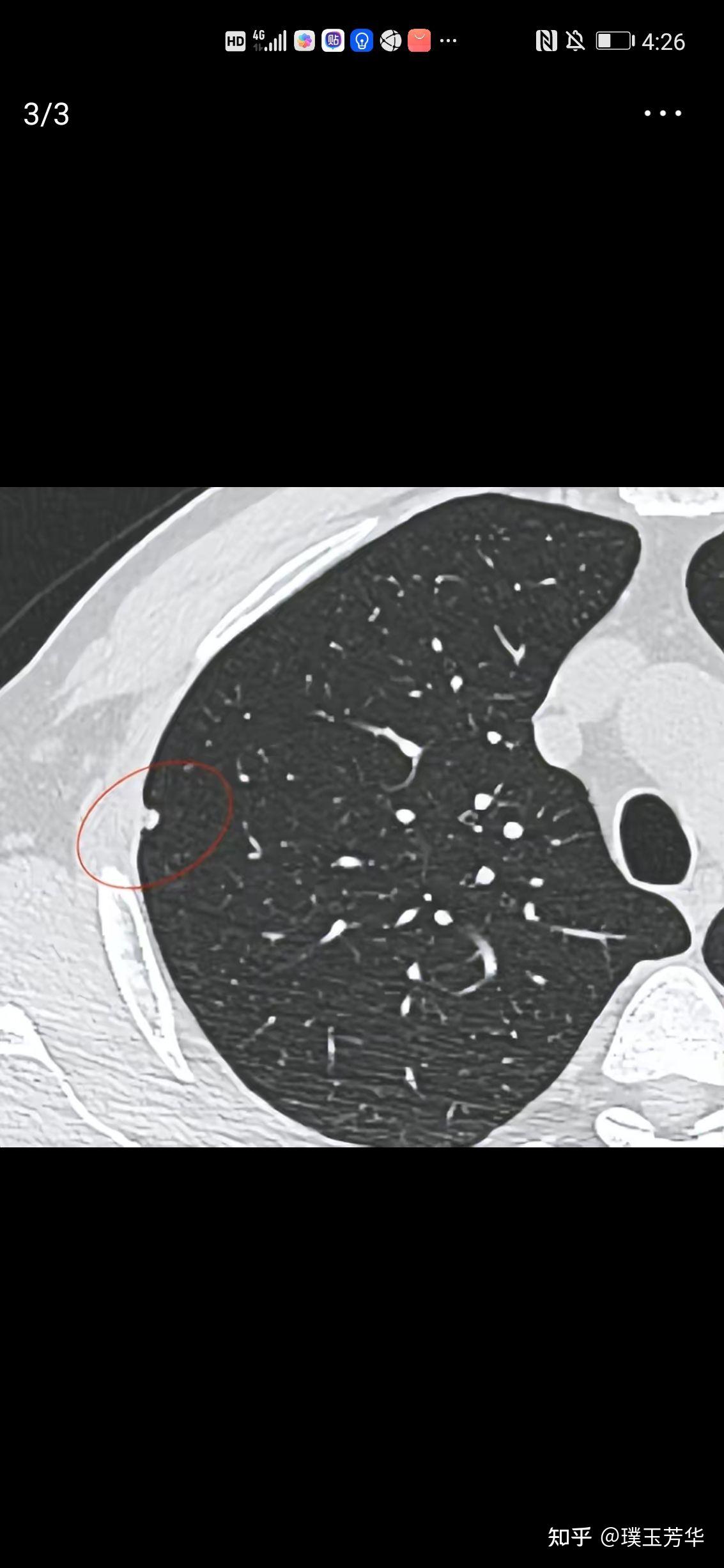
左肺上叶结节.空泡,磨玻璃影,边界清楚,存在三个月. #肺结 - 抖音
图片尺寸1212x2616
发现"肺磨玻璃结节"是随访还是手术?要讲究权衡利弊!
图片尺寸957x931
有空泡征的磨玻璃结节多提示恶性可能性大,建议尽早外科干预.
图片尺寸960x1280
有空泡征的磨玻璃结节多提示恶性可能性大,建议尽早外科干预.
图片尺寸960x1280
会导致肺部组织发生一定的改变,从而在ct图像上呈现出磨玻璃结节影
图片尺寸629x473
无危险的磨玻璃肺结节不长大2mm不着急手术,那长大了2mm呢?
图片尺寸1133x2453
体检查出肺磨玻璃结节4mm咋办?_肺部_净化_疗法
图片尺寸640x339
磨玻璃结节就是肺癌吗?医生用ct片详细说明,前3种不要紧
图片尺寸780x416
双上肺多发磨玻璃结节,多家医院咨询,均建议手术治疗!
图片尺寸1920x1440
磨玻璃肺部结节3mm严重吗
图片尺寸600x600
问诊分析:肺磨玻璃结节低龄化——不容小觑的趋势!
图片尺寸1080x1456
男性,46岁,2018年发现右肺上叶前段磨玻璃结节,直径约8mm,ct值-520
图片尺寸1242x987
肺磨玻璃结节的发展轨迹
图片尺寸758x756
6月前查体发现肺部结节,位于右肺下叶背段,为3mm磨玻璃结节(ggo)
图片尺寸640x435
你知道什么是肺部磨玻璃结节吗?
图片尺寸640x441
双肺多发磨玻璃结节怎么办?先期一网打尽左肺5个腺癌
图片尺寸700x667
65岁双肺多发磨玻璃结节介于原位到微浸润腺癌之,别急,可以等等
图片尺寸640x887