肺部磨玻璃结节ct

ct照出磨玻璃结节,就是得了肺癌吗?医生这些总结很实用!
图片尺寸1080x1440
肺磨玻璃结节之十问十答
图片尺寸3968x2976
肺部磨玻璃结节中医药治疗验案 - 好大夫在线
图片尺寸1872x1366
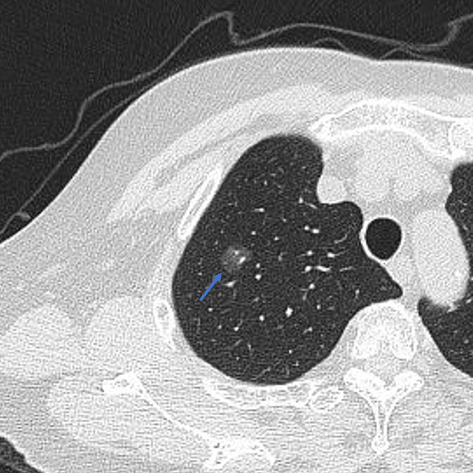
肺ct图示近脊柱处可见约18*14mm磨玻璃结节影
图片尺寸512x512
如何预防肺部磨玻璃结节?
图片尺寸4032x3024
右下肺8mm磨玻璃结节 - 好大夫在线
图片尺寸1658x1242
密度较淡,内见血管的磨玻璃结节肺磨玻璃结节/磨玻璃影是指在ct检查
图片尺寸3968x2976
话题讨论:两位老人的磨玻璃结节的6年变化_肺部结节_肺部结节就诊指导
图片尺寸3024x3024
肺上发现磨玻璃结节,是做微创手术好,还是微波介入治疗好?
图片尺寸846x1200
肺部磨玻璃结节,磨玻璃肺癌_肺部结节_肺部结节缓解方法 - 好大夫在线
图片尺寸1706x1280
肺部磨玻璃结节中医药治疗验案 - 好大夫在线
图片尺寸1965x1630
8mm的磨玻璃结节要紧吗需要处理吗发现肺部磨玻璃结节如何确诊
图片尺寸533x533
肺结节/磨玻璃结节经典病例集合,看了你也是专家!持续更新.谢谢关注!
图片尺寸3648x2736
了她的胸部ct,发现这个小结节直径8mm,边缘比较模糊,是一个磨玻璃结节
图片尺寸1107x1080
什么是磨玻璃结节? 磨玻璃样结,就是在ct片子上,像磨砂玻璃一样的.
图片尺寸1719x1280
肺部磨玻璃阴影需要外科手术吗_肺部结节_肺部结节疾病介绍
图片尺寸1679x1080
近期有两位乳腺癌的患者,在胸部ct扫描时发现了肺内多发磨玻璃结节,第
图片尺寸1559x1559
肺部磨玻璃结节,磨玻璃肺癌_肺部结节_肺部结节缓解方法 - 好大夫在线
图片尺寸3968x2240
肺部磨玻璃结节中医药治疗验案 - 好大夫在线
图片尺寸1765x1246
肺结节科普:肺部长了"磨玻璃结节"应该怎么办?
图片尺寸640x581