肺部纵隔淋巴结

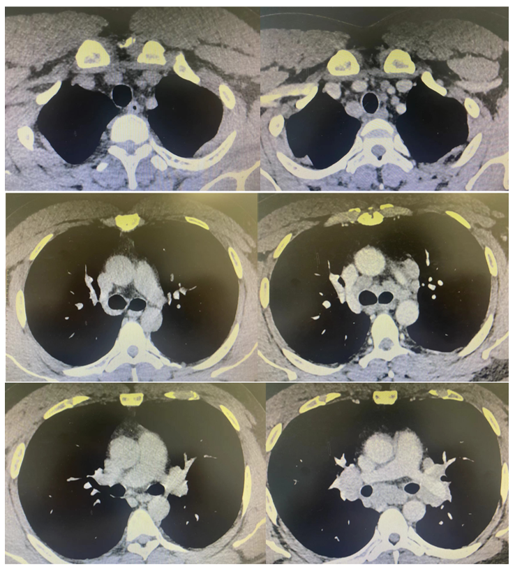
20年哮喘突遇反复发热,「纵膈多发淋巴结肿大」谜何解?
图片尺寸738x812
20年哮喘突遇反复发热,「纵膈多发淋巴结肿大」谜何解?
图片尺寸1000x1075
20年哮喘突遇反复发热,「纵膈多发淋巴结肿大」谜何解?
图片尺寸885x1011
【共享】ct对纵隔淋巴结ats分组的一些知识汇总
图片尺寸1000x1118
肺ct基础——纵隔淋巴结的位置.重发一个,上个视频有一点小错 - 抖音
图片尺寸807x452
左肺癌4l淋巴结清扫有无必要? - 好大夫在线
图片尺寸1068x900
纵隔淋巴结分组图解
图片尺寸893x392
1,纵隔前淋巴结:位于上纵膈前部和前纵隔内,大血管心包的前方,收纳
图片尺寸640x487
做了胸部ct,说纵隔有很多肿大淋巴结,要不要紧?
图片尺寸650x764
看图识肺——肺内淋巴结_肺部结节_肺部结节介绍 - 好大夫在线
图片尺寸598x490
纵膈淋巴结分布图方便大家学习
图片尺寸640x480
纵隔淋巴结主要是引流肺部及纵隔结构内的淋巴.
图片尺寸1000x756
王氏纵膈淋巴结解剖学图谱
图片尺寸2000x1500
肺癌纵隔淋巴结分区
图片尺寸1080x810
肺癌纵隔淋巴结分区
图片尺寸1080x810
看图识肺——肺内淋巴结_肺部结节_肺部结节介绍 - 好大夫在线
图片尺寸702x562
李洁老师辅导纵隔淋巴结分区
图片尺寸640x360
结果提示:右上纵隔恶性占位,上腔静脉受侵,纵隔淋巴结转移,右肺结节
图片尺寸500x273
胸部(肺内)淋巴结
图片尺寸2000x1124
(一)靠近隆突:右纵隔内第1,3,5站淋巴结;左纵膈内第4,6站淋巴结;(二)
图片尺寸2000x1500