肺部纵隔肿瘤

纵隔肿瘤是胸腔内常见的一类肿瘤,种类繁多,发现尽早切除,微创 - 抖音
图片尺寸1920x1440
前后纵隔肿瘤一例
图片尺寸4032x3024
前纵隔肿瘤一例,少见肿瘤!
图片尺寸4096x3072
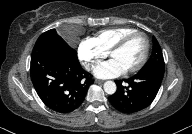
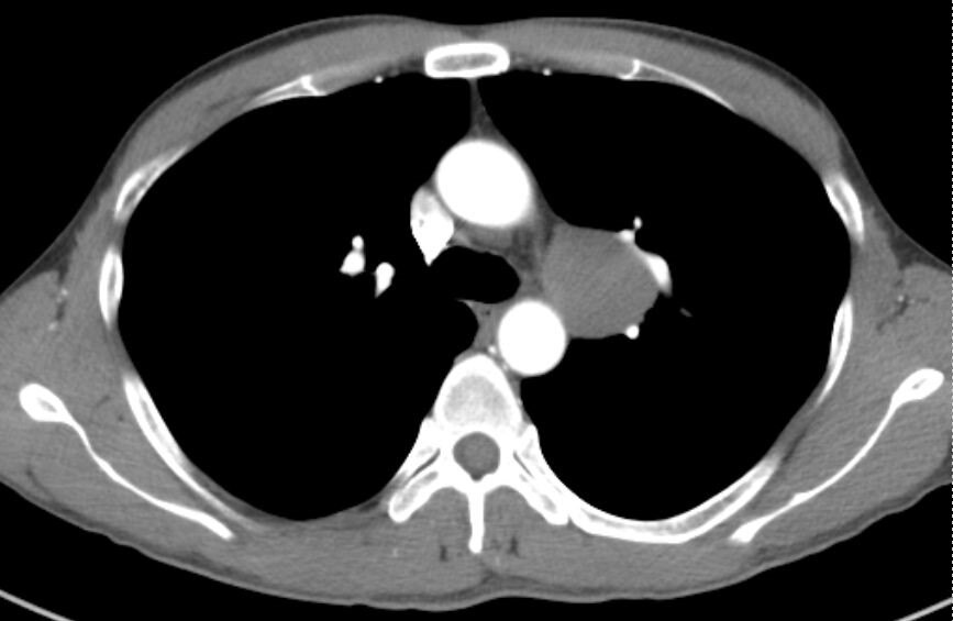
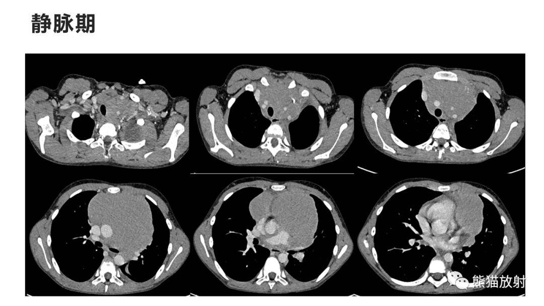
三例纵隔肿瘤
图片尺寸1438x1590
青少年也不幸中招1722和23岁少年咳嗽检查发现纵隔肿瘤该如何治疗
图片尺寸1254x1082
戴主任科普之—纵隔肿瘤预防与治疗
图片尺寸1080x810
看图说肺前纵隔肿瘤胸腺瘤
图片尺寸1536x1011
石景山院区成功救治一例罕见巨大纵隔肿瘤患者
图片尺寸549x732
"小"胸腔,"大"肿瘤——我院胸外科完成了92例胸腔镜下纵隔肿瘤切除
图片尺寸835x660
【省立影像读片】青少年前中纵隔肿瘤24.01_相关_内容_汇报
图片尺寸1080x608
看图说肺前纵隔肿瘤胸腺瘤
图片尺寸1536x1230
纵隔肿瘤是什么病?严重吗?(一) - 微医(挂号网)
图片尺寸692x443
纵隔肿瘤是什么病?严重吗?
图片尺寸768x536
纵隔肿瘤是什么病?严重吗?
图片尺寸509x316
纵隔肿瘤是什么病?严重吗?
图片尺寸487x564
【省立影像读片】青少年前中纵隔肿瘤24.01_相关_内容_汇报
图片尺寸1080x608![【影像读片】开始发片:纵隔肿瘤(四) [病例帖]](https://i.ecywang.com/upload/1/img0.baidu.com/it/u=1078932079,188711590&fm=253&fmt=auto&app=138&f=JPEG?w=667&h=500)
【影像读片】开始发片:纵隔肿瘤(四) [病例帖]
图片尺寸3264x2448
陈女士在一次意外事故中摔倒,当地医院ct检查提示纵隔占位(肿瘤),因
图片尺寸800x600
纵隔肿瘤是什么病严重吗三
图片尺寸867x565![【求助】前纵隔肿瘤 [病例帖]](https://i.ecywang.com/upload/1/img0.baidu.com/it/u=3862671032,1406831378&fm=253&fmt=auto&app=138&f=JPEG?w=500&h=645)
【求助】前纵隔肿瘤 [病例帖]
图片尺寸1479x1908