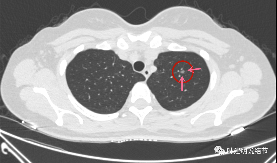
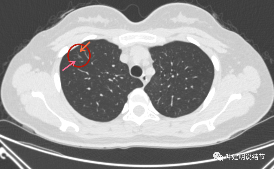
肺部结节磨玻璃

查体发现右肺磨玻璃结节,三个月后病灶消失
图片尺寸1575x2100
无危险的磨玻璃肺结节不长大2mm不着急手术那长大了2mm呢
图片尺寸640x653
肺部磨玻璃结节,磨玻璃肺癌_肺部结节_肺部结节缓解方法 - 好大夫在线
图片尺寸2268x1280
混合磨玻璃结节,伴有胸膜牵拉——肺腺癌
图片尺寸1833x1393
肺磨玻璃结节间隔1周居然消失了!肺多发磨玻璃结节,部分考虑多 - 抖音
图片尺寸1080x906
肺磨玻璃结节
图片尺寸640x239
发现肺磨玻璃结节就戴上"癌症"帽子了吗?
图片尺寸639x794
5-10mm的肺磨玻璃结节,哪些需要警惕? - 好大夫在线
图片尺寸776x706
混合磨玻璃结节,伴有胸膜牵拉——肺腺癌
图片尺寸1440x1278
肺部磨玻璃结节,磨玻璃肺癌_肺部结节_肺部结节缓解方法 - 好大夫在线
图片尺寸1706x1280
肺磨玻璃结节之十问十答_肺部结节_疾病介绍_手术 - 好大夫在线
图片尺寸3968x2976
左下肺磨玻璃结节.jpeg
图片尺寸1107x1080
健康科普当新冠肺炎遇见肺磨玻璃结节
图片尺寸477x375
问诊仅30岁的女子两肺多达11处磨玻璃结节该干预
图片尺寸927x548
什么是肺部磨玻璃结节?_肺癌_检查_介绍 - 好大夫在线
图片尺寸1804x2404
肺结节/磨玻璃结节经典病例集合,看了你也是专家!持续更新.谢谢关注!
图片尺寸3648x2736
肺部磨玻璃阴影需要外科手术吗_肺部结节_肺部结节疾病介绍
图片尺寸1679x1080
患者月经期反复咳血肺部有磨玻璃状的空洞结节考虑是
图片尺寸1000x634
刘懿博士说肺癌二二五什么是肺磨玻璃结节ggo
图片尺寸1966x1756
问诊仅30岁的女子两肺多达11处磨玻璃结节该干预
图片尺寸912x563