肺部肿瘤ct报告单

肺癌多半是"拖"出来的,身体3处疼痛,或是癌信号,尽快去做肺部ct_王
图片尺寸750x1131
今天的话题我们就探讨到这里,我是刘懿,天津医科大学总医院肺部肿瘤
图片尺寸1274x1189
左侧瘤ct测成右侧郑大一附院回应乌龙检查正调查
图片尺寸600x957
李小佳提供的一份威远县人民医院"ct多媒体图文报告单"显示:伤者肺部
图片尺寸600x800
发布高建英主任petct在肿瘤远处转移中的临床应用
图片尺寸960x720
他向微信女友传来一张ct肺部影像自称新冠肺炎疑似病例
图片尺寸600x477
邱先生的ct检查报告单"给叶某的钱是我工作这些年的积蓄,此外我昏借
图片尺寸805x1096
【新闻】遵义医科大学附院 | pet-ct检查突破千例_恶性肿瘤
图片尺寸695x580
忽视了4个字,他错失肺癌根治机会!体检报告出现这些"字眼"要当心
图片尺寸1080x492
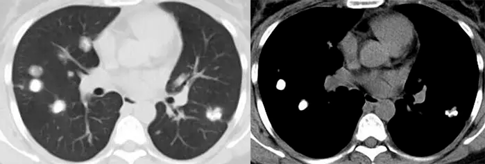
肺转移瘤 vs 十种不典型 ct 表现_钙化
图片尺寸699x237
聚焦临床惠州首例市中心人民医院胸外科完成剑突下单孔胸腔镜肺部肿瘤
图片尺寸421x316
未能提醒肺部有异常,让其父做进一步检查并拍ct
图片尺寸660x880
患者的肺部ct检查变化图,结果表明患者肺部肿瘤明显缩小
图片尺寸2000x2000
昆山肿瘤医院请选择广州复大肿瘤医院激素冲击疗法挽救肺炎患者
图片尺寸496x373
魏女士治疗前(粉红色圈圈内为肺肿瘤)和治疗后(肿瘤几乎消失)ct图像
图片尺寸640x320
ct,一般都会查出肺结节,100个病人中大概有30个有结节,其中疑似肿瘤的
图片尺寸556x414
两女子肺部ct呈毛玻璃影,就因天天在家……大家务必当心!
图片尺寸600x449
肿瘤的微创热消融治疗_病灶_右肺_患者
图片尺寸750x551
肺部结节分善恶多学科诊治识真凶
图片尺寸533x353
哈尔滨市第二医院血液肿瘤科成功完成ct引导下经皮肺穿刺活检术
图片尺寸1080x980